Phone:
+1 877 302 8632
Fax:
+1 888 205 9894 (Toll-free)
E-Mail:
orders@antibodies-online.com

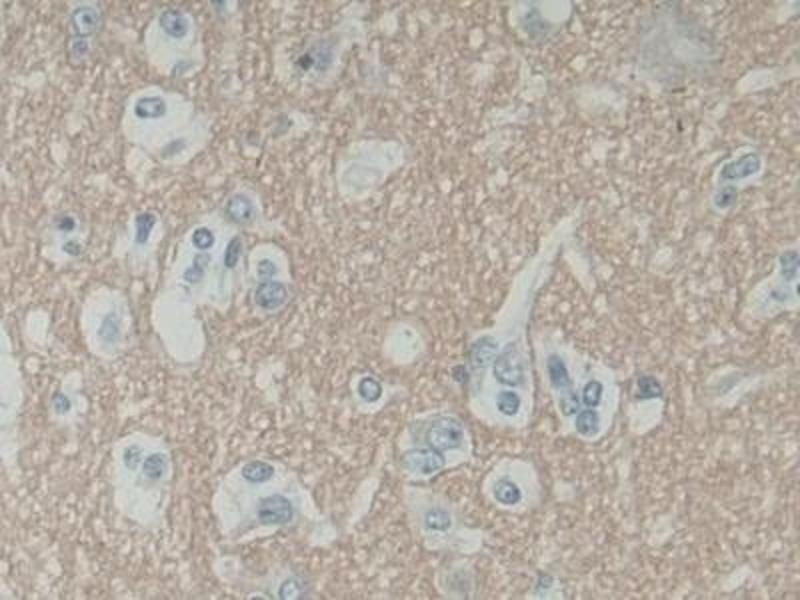
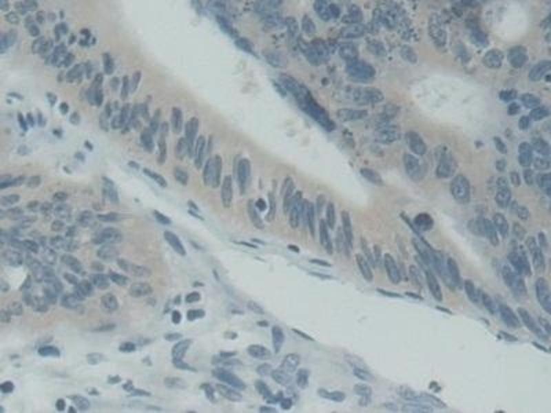
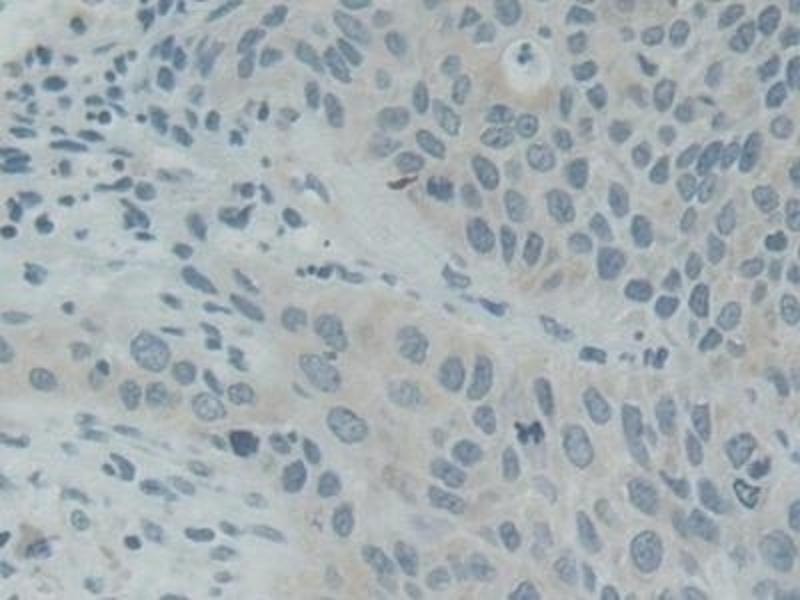
SNAP25 antibody (AA 1-206)

The Rabbit Polyclonal anti-SNAP25 antibody is suitable to detect SNAP25 in samples from Human. It has been validated for WB, IHC, IP and ICC.
Catalog No. ABIN7443431
$326.15
Plus shipping costs $50.00
Shipping to: United States
Delivery in 13 to 17 Business Days

Quick Overview for SNAP25 antibody (AA 1-206) (ABIN7443431)

Target

See all SNAP25 Antibodies
SNAP25 (Synaptosomal-Associated Protein, 25kDa (SNAP25))

Reactivity

  • 126
  • 95
  • 89
  • 10
  • 10
  • 9
  • 9
  • 9
  • 7
  • 6
  • 3
  • 2
  • 2
  • 2
  • 1
  • 1
  • 1
  • 1
  • 1
  • 1
  • 1
Human

Host

  • 121
  • 28
  • 4
  • 2
  • 1
Rabbit

Clonality

  • 96
  • 57
  • 1
Polyclonal

Conjugate

  • 79
  • 10
  • 6
  • 5
  • 5
  • 5
  • 5
  • 5
  • 5
  • 4
  • 4
  • 3
  • 2
  • 2
  • 2
  • 2
  • 1
  • 1
  • 1
  • 1
  • 1
  • 1
  • 1
  • 1
  • 1
  • 1
  • 1
  • 1
This SNAP25 antibody is un-conjugated

Application

  • 115
  • 49
  • 38
  • 33
  • 25
  • 21
  • 17
  • 17
  • 13
  • 13
  • 8
  • 5
  • 4
  • 2
  • 1
  • 1
  • 1
  • 1
Western Blotting (WB), Immunohistochemistry (IHC), Immunoprecipitation (IP), Immunocytochemistry (ICC)
  • Binding Specificity

    • 17
    • 15
    • 9
    • 8
    • 7
    • 5
    • 3
    • 2
    • 2
    • 2
    • 2
    • 2
    • 1
    • 1
    • 1
    • 1
    • 1
    • 1
    • 1
    • 1
    • 1
    • 1
    • 1
    • 1
    • 1
    AA 1-206

    Purpose

    Polyclonal Antibody to Synaptosomal Associated Protein 25kDa (SNAP25)

    Specificity

    The antibody is a rabbit polyclonal antibody raised against SNAP25. It has been selected for its ability to recognize SNAP25 in immunohistochemical staining and western blotting.

    Cross-Reactivity

    Mouse, Pig, Rat

    Purification

    Antigen-specific affinity chromatography followed by Protein A affinity chromatography

    Immunogen

    Recombinant Synaptosomal Associated Protein 25kDa (SNAP25) corresdonding to Met1~Gly206

    Isotype

    IgG
  • Application Notes

    Western blottin:g: 0.5-3 μg/mL,Immunohistochemistry: 5-30 μg/mL,Immunocytochemistry: 5-30 μg/mL,Optimal working dilutions must be determined by end user.

    Comment

    The thermal stability is described by the loss rate. The loss rate was determined by accelerated thermal degradation test, that is, incubate the protein at 37°C for 48h, and no obvious degradation and precipitation were observed. The loss rate is less than 5% within the expiration date under appropriate storage condition.

    Restrictions

    For Research Use only
  • Format

    Liquid

    Concentration

    0.6 mg/mL

    Buffer

    0.01M PBS, pH 7.4, containing 0.05 % Proclin-300, 50 % glycerol.

    Preservative

    ProClin

    Precaution of Use

    This product contains ProClin: a POISONOUS AND HAZARDOUS SUBSTANCE which should be handled by trained staff only.

    Storage

    4 °C,-20 °C

    Storage Comment

    Store at 4°C for frequent use. Stored at -20°C in a manual defrost freezer for two year without detectable loss of activity. Avoid repeated freeze-thaw cycles.

    Expiry Date

    24 months
  • Target

    SNAP25 (Synaptosomal-Associated Protein, 25kDa (SNAP25))

    Alternative Name

    SNAP25

    Background

    RIC4, SEC9, SNAP, SUP, Super protein, Resistance To Inhibitors Of Cholinesterase 4 Homolog

    UniProt

    P60880

    Pathways

    Positive Regulation of Peptide Hormone Secretion, Hormone Transport, Synaptic Vesicle Exocytosis, Dicarboxylic Acid Transport
You are here:
Chat with us!