Phone:
+1 877 302 8632
Fax:
+1 888 205 9894 (Toll-free)
E-Mail:
orders@antibodies-online.com

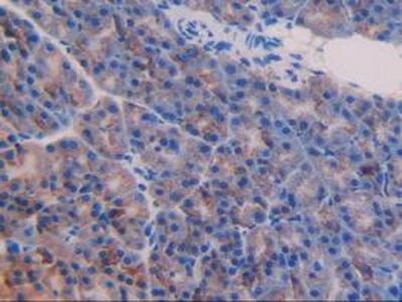
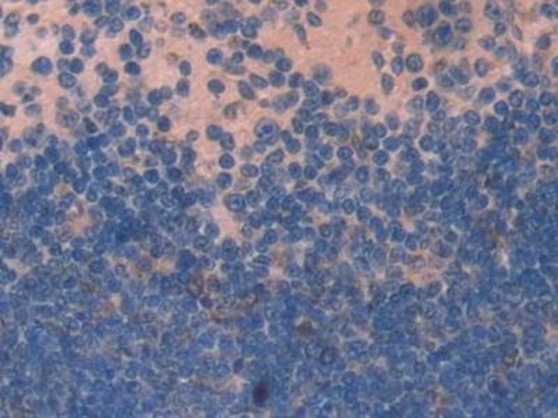
NUCB2 antibody (AA 25-420)

The Rabbit Polyclonal anti-NUCB2 antibody (ABIN7442231) specifically detects NUCB2 in WB, IHC, IP and ICC. The antibody is reactive with Mouse samples.
Catalog No. ABIN7442231
$333.16
Plus shipping costs $50.00
Shipping to: United States
Delivery in 13 to 17 Business Days

Quick Overview for NUCB2 antibody (AA 25-420) (ABIN7442231)

Target

See all NUCB2 Antibodies
NUCB2 (Nucleobindin 2 (NUCB2))

Reactivity

  • 34
  • 12
  • 7
  • 6
  • 4
  • 3
  • 3
  • 3
  • 2
  • 2
  • 2
  • 1
  • 1
  • 1
Mouse

Host

  • 40
  • 1
  • 1
Rabbit

Clonality

  • 41
  • 1
Polyclonal

Conjugate

  • 23
  • 7
  • 4
  • 2
  • 1
  • 1
  • 1
  • 1
  • 1
  • 1
This NUCB2 antibody is un-conjugated

Application

  • 27
  • 13
  • 11
  • 5
  • 4
  • 3
  • 3
  • 1
Western Blotting (WB), Immunohistochemistry (IHC), Immunoprecipitation (IP), Immunocytochemistry (ICC)
  • Binding Specificity

    • 6
    • 4
    • 3
    • 3
    • 2
    • 1
    • 1
    • 1
    • 1
    • 1
    • 1
    • 1
    • 1
    • 1
    • 1
    • 1
    AA 25-420

    Purpose

    Polyclonal Antibody to Nucleobindin 2 (NUCB2)

    Specificity

    The antibody is a rabbit polyclonal antibody raised against NUCB2. It has been selected for its ability to recognize NUCB2 in immunohistochemical staining and western blotting.

    Cross-Reactivity

    Human

    Purification

    Antigen-specific affinity chromatography followed by Protein A affinity chromatography

    Immunogen

    Recombinant Nucleobindin 2 (NUCB2) corresdonding to Val25~Thr420 (Accession # P81117)

    Isotype

    IgG
  • Application Notes

    Western blotting: 0.5-5 μg/mL,Immunohistochemistry: 5-20 μg/mL,Immunocytochemistry: 5-20 μg/mL,Optimal working dilutions must be determined by end user.

    Comment

    The thermal stability is described by the loss rate. The loss rate was determined by accelerated thermal degradation test, that is, incubate the protein at 37°C for 48h, and no obvious degradation and precipitation were observed. The loss rate is less than 5% within the expiration date under appropriate storage condition.

    Restrictions

    For Research Use only
  • Format

    Liquid

    Concentration

    500 μg/mL

    Buffer

    0.01M PBS, pH 7.4, containing 0.05 % Proclin-300, 50 % glycerol.

    Preservative

    ProClin

    Precaution of Use

    This product contains ProClin: a POISONOUS AND HAZARDOUS SUBSTANCE which should be handled by trained staff only.

    Storage

    4 °C,-20 °C

    Storage Comment

    Store at 4°C for frequent use. Stored at -20°C in a manual defrost freezer for two year without detectable loss of activity. Avoid repeated freeze-thaw cycles.

    Expiry Date

    24 months
  • Target

    NUCB2 (Nucleobindin 2 (NUCB2))

    Alternative Name

    NUCB2

    Background

    NUCB2, NEFA, Nucleobindin 2, DNA-binding protein NEFA, Gastric cancer antigen Zg4, Prepronesfatin

    UniProt

    P81117
You are here:
Chat with us!