Phone:
+1 877 302 8632
Fax:
+1 888 205 9894 (Toll-free)
E-Mail:
orders@antibodies-online.com

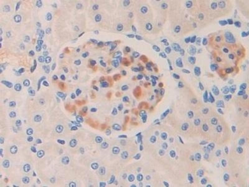
IL17RE antibody (AA 457-626)

The Rabbit Polyclonal anti-IL17RE antibody is suitable to detect IL17RE in samples from Rat. It has been validated for WB, IHC, IP and ICC.
Catalog No. ABIN7438634
$347.18
Plus shipping costs $50.00
Shipping to: United States
Delivery in 13 to 17 Business Days

Quick Overview for IL17RE antibody (AA 457-626) (ABIN7438634)

Target

See all IL17RE Antibodies
IL17RE (Interleukin 17 Receptor E (IL17RE))

Reactivity

  • 17
  • 8
  • 4
Rat

Host

  • 19
  • 2
Rabbit

Clonality

  • 18
  • 3
Polyclonal

Conjugate

  • 16
  • 1
  • 1
  • 1
  • 1
  • 1
This IL17RE antibody is un-conjugated

Application

  • 19
  • 13
  • 5
  • 2
  • 1
  • 1
  • 1
Western Blotting (WB), Immunohistochemistry (IHC), Immunoprecipitation (IP), Immunocytochemistry (ICC)
  • Binding Specificity

    • 9
    • 2
    • 2
    • 1
    • 1
    • 1
    • 1
    • 1
    AA 457-626

    Purpose

    Polyclonal Antibody to Interleukin 17 Receptor E (IL17RE)

    Specificity

    The antibody is a rabbit polyclonal antibody raised against IL17RE. It has been selected for its ability to recognize IL17RE in immunohistochemical staining and western blotting.

    Cross-Reactivity

    Mouse

    Purification

    Antigen-specific affinity chromatography followed by Protein A affinity chromatography

    Immunogen

    Recombinant Interleukin 17 Receptor E (IL17RE) corresdonding to Asp457~Gly626 with N-terminal His Tag

    Isotype

    IgG
  • Application Notes

    Western blotting: 0.5-2 μg/mL,Immunohistochemistry: 5-20 μg/mL,Immunocytochemistry: 5-20 μg/mL,Optimal working dilutions must be determined by end user.

    Comment

    The thermal stability is described by the loss rate. The loss rate was determined by accelerated thermal degradation test, that is, incubate the protein at 37°C for 48h, and no obvious degradation and precipitation were observed. The loss rate is less than 5% within the expiration date under appropriate storage condition.

    Restrictions

    For Research Use only
  • Format

    Liquid

    Concentration

    500 μg/mL

    Buffer

    0.01M PBS, pH 7.4, containing 0.05 % Proclin-300, 50 % glycerol.

    Preservative

    ProClin

    Precaution of Use

    This product contains ProClin: a POISONOUS AND HAZARDOUS SUBSTANCE which should be handled by trained staff only.

    Storage

    4 °C,-20 °C

    Storage Comment

    Store at 4°C for frequent use. Stored at -20°C in a manual defrost freezer for two year without detectable loss of activity. Avoid repeated freeze-thaw cycles.

    Expiry Date

    24 months
  • Target

    IL17RE (Interleukin 17 Receptor E (IL17RE))

    Alternative Name

    IL17RE

    Background

    IL17R-E

    UniProt

    Q6AZ51
You are here:
Chat with us!