Phone:
+1 877 302 8632
Fax:
+1 888 205 9894 (Toll-free)
E-Mail:
orders@antibodies-online.com

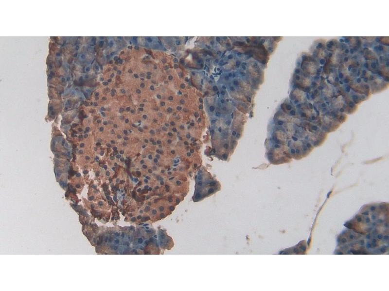
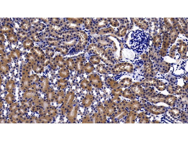
EPAS1 antibody (AA 21-336)

The Rabbit Polyclonal anti-EPAS1 antibody (ABIN7435526) specifically detects EPAS1 in WB, IHC, ICC and IP. The antibody is reactive with Mouse samples.
Catalog No. ABIN7435526
$333.16
Plus shipping costs $50.00
Shipping to: United States
Delivery in 13 to 17 Business Days

Quick Overview for EPAS1 antibody (AA 21-336) (ABIN7435526)

Target

See all EPAS1 Antibodies
EPAS1 (Endothelial PAS Domain Protein 1 (EPAS1))

Reactivity

  • 98
  • 63
  • 54
  • 18
  • 17
  • 3
  • 3
  • 2
  • 2
  • 2
  • 2
  • 2
  • 1
  • 1
  • 1
  • 1
  • 1
  • 1
Mouse

Host

  • 108
  • 8
  • 1
  • 1
Rabbit

Clonality

  • 91
  • 27
Polyclonal

Conjugate

  • 58
  • 12
  • 5
  • 3
  • 3
  • 3
  • 3
  • 3
  • 3
  • 3
  • 3
  • 2
  • 2
  • 2
  • 1
  • 1
  • 1
  • 1
  • 1
  • 1
  • 1
  • 1
  • 1
  • 1
  • 1
  • 1
  • 1
This EPAS1 antibody is un-conjugated

Application

  • 90
  • 37
  • 33
  • 24
  • 23
  • 21
  • 14
  • 13
  • 13
  • 11
  • 5
  • 4
  • 4
  • 2
  • 1
  • 1
  • 1
Western Blotting (WB), Immunohistochemistry (IHC), Immunocytochemistry (ICC), Immunoprecipitation (IP)
  • Binding Specificity

    • 16
    • 7
    • 7
    • 6
    • 6
    • 6
    • 4
    • 3
    • 3
    • 3
    • 2
    • 2
    • 2
    • 2
    • 2
    • 2
    • 2
    • 1
    • 1
    • 1
    • 1
    • 1
    • 1
    • 1
    • 1
    • 1
    • 1
    • 1
    • 1
    • 1
    AA 21-336

    Purpose

    Polyclonal Antibody to Hypoxia Inducible Factor 2 Alpha (HIF2a)

    Specificity

    The antibody is a rabbit polyclonal antibody raised against HIF2a. It has been selected for its ability to recognize HIF2a in immunohistochemical staining and western blotting.

    Purification

    Antigen-specific affinity chromatography followed by Protein A affinity chromatography

    Immunogen

    Recombinant Hypoxia Inducible Factor 2 Alpha (HIF2a) corresdonding to Asp21~Cys336 with N-terminal His Tag

    Isotype

    IgG
  • Application Notes

    Western blotting: 0.5-2 μg/mL,Immunohistochemistry: 5-20 μg/mL,Immunocytochemistry: 5-20 μg/mL,Optimal working dilutions must be determined by end user.

    Comment

    The thermal stability is described by the loss rate. The loss rate was determined by accelerated thermal degradation test, that is, incubate the protein at 37°C for 48h, and no obvious degradation and precipitation were observed. The loss rate is less than 5% within the expiration date under appropriate storage condition.

    Restrictions

    For Research Use only
  • Format

    Liquid

    Concentration

    500 μg/mL

    Buffer

    0.01M PBS, pH 7.4, containing 0.05 % Proclin-300, 50 % glycerol.

    Preservative

    ProClin

    Precaution of Use

    This product contains ProClin: a POISONOUS AND HAZARDOUS SUBSTANCE which should be handled by trained staff only.

    Storage

    4 °C,-20 °C

    Storage Comment

    Store at 4°C for frequent use. Stored at -20°C in a manual defrost freezer for two year without detectable loss of activity. Avoid repeated freeze-thaw cycles.

    Expiry Date

    24 months
  • Target

    EPAS1 (Endothelial PAS Domain Protein 1 (EPAS1))

    Alternative Name

    HIF2a

    Background

    EPAS1, HLF, MOP2, PASD2, BHLHE73, Endothelial PAS Domain 1, HIF-1 Alpha-Like Factor, Basic-helix-loop-helix-PAS protein MOP2, Class E basic helix-loop-helix protein 73

    UniProt

    P97481

    Pathways

    Signaling Events mediated by VEGFR1 and VEGFR2, Warburg Effect
You are here:
Chat with us!