Phone:
+1 877 302 8632
Fax:
+1 888 205 9894 (Toll-free)
E-Mail:
orders@antibodies-online.com

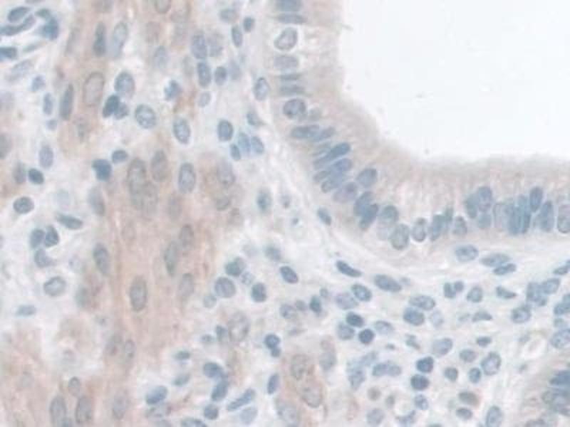
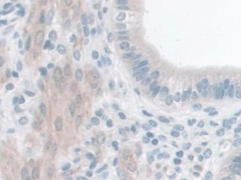
GLP1R antibody (AA 25-145)

The Rabbit Polyclonal anti-GLP1R antibody (ABIN7435535) specifically detects GLP1R in WB, IHC, IP and ICC. The antibody is reactive with Mouse samples.
Catalog No. ABIN7435535
$333.16
Plus shipping costs $50.00
Shipping to: United States
Delivery in 13 to 17 Business Days

Quick Overview for GLP1R antibody (AA 25-145) (ABIN7435535)

Target

See all GLP1R Antibodies
GLP1R (Glucagon-Like Peptide 1 Receptor (GLP1R))

Reactivity

  • 44
  • 29
  • 17
  • 2
  • 2
  • 2
  • 2
  • 1
  • 1
  • 1
  • 1
  • 1
  • 1
Mouse

Host

  • 46
  • 6
  • 2
  • 2
  • 1
Rabbit

Clonality

  • 48
  • 9
Polyclonal

Conjugate

  • 36
  • 5
  • 5
  • 4
  • 1
  • 1
  • 1
  • 1
  • 1
  • 1
  • 1
This GLP1R antibody is un-conjugated

Application

  • 25
  • 24
  • 14
  • 13
  • 8
  • 7
  • 3
  • 3
  • 2
  • 2
  • 2
  • 1
  • 1
  • 1
Western Blotting (WB), Immunohistochemistry (IHC), Immunoprecipitation (IP), Immunocytochemistry (ICC)
  • Binding Specificity

    • 9
    • 4
    • 4
    • 3
    • 3
    • 2
    • 2
    • 2
    • 2
    • 2
    • 2
    • 1
    • 1
    • 1
    • 1
    • 1
    • 1
    • 1
    • 1
    AA 25-145

    Purpose

    Polyclonal Antibody to Glucagon Like Peptide 1 Receptor (GLP1R)

    Specificity

    The antibody is a rabbit polyclonal antibody raised against GLP1R. It has been selected for its ability to recognize GLP1R in immunohistochemical staining and western blotting.

    Cross-Reactivity

    Human, Rat

    Purification

    Antigen-specific affinity chromatography followed by Protein A affinity chromatography

    Immunogen

    Recombinant Glucagon Like Peptide 1 Receptor (GLP1R) corresdonding to Pro25~Tyr145 with N-terminal His Tag

    Isotype

    IgG
  • Application Notes

    Western blotting: 0.01-2 μg/mL,Immunohistochemistry: 5-20 μg/mL,Immunofluorescence:5-20 μg/mL,Optimal working dilutions must be determined by end user.

    Comment

    The thermal stability is described by the loss rate. The loss rate was determined by accelerated thermal degradation test, that is, incubate the protein at 37°C for 48h, and no obvious degradation and precipitation were observed. The loss rate is less than 5% within the expiration date under appropriate storage condition.

    Restrictions

    For Research Use only
  • Format

    Liquid

    Concentration

    0.5 mg/mL

    Buffer

    PBS, pH 7.4, containing 0.02 % Sodium azide, 50 % glycerol.

    Preservative

    Sodium azide

    Precaution of Use

    This product contains Sodium azide: a POISONOUS AND HAZARDOUS SUBSTANCE which should be handled by trained staff only.

    Storage

    4 °C,-20 °C

    Storage Comment

    Store at 4°C for frequent use. Stored at -20°C in a manual defrost freezer for two year without detectable loss of activity. Avoid repeated freeze-thaw cycles.

    Expiry Date

    24 months
  • Target

    GLP1R (Glucagon-Like Peptide 1 Receptor (GLP1R))

    Alternative Name

    GLP1R

    UniProt

    O35659

    Pathways

    Positive Regulation of Peptide Hormone Secretion, Hormone Transport, cAMP Metabolic Process, Feeding Behaviour
You are here:
Chat with us!