Phone:
+1 877 302 8632
Fax:
+1 888 205 9894 (Toll-free)
E-Mail:
orders@antibodies-online.com

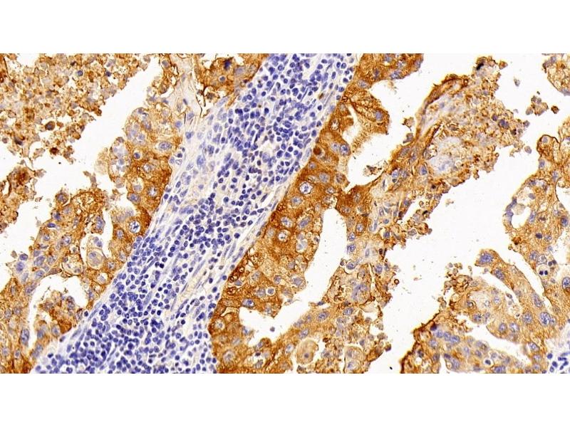
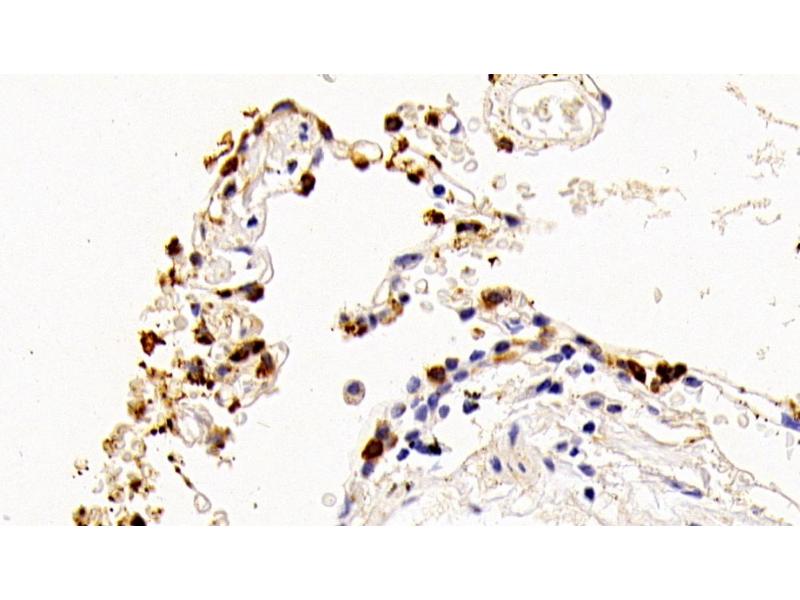
SFTPA2 antibody (AA 21-114)

The Rabbit Polyclonal anti-SFTPA2 antibody (ABIN7443935) specifically detects SFTPA2 in WB, IHC, IP and ICC. The antibody is reactive with Human samples.
Catalog No. ABIN7443935
$326.15
Plus shipping costs $50.00
Shipping to: United States
Delivery in 13 to 17 Business Days

Quick Overview for SFTPA2 antibody (AA 21-114) (ABIN7443935)

Target

See all SFTPA2 Antibodies
SFTPA2 (Surfactant Associated Protein A2 (SFTPA2))

Reactivity

  • 15
  • 4
  • 3
  • 1
  • 1
  • 1
  • 1
  • 1
  • 1
  • 1
  • 1
  • 1
Human

Host

  • 16
Rabbit

Clonality

  • 16
Polyclonal

Conjugate

  • 11
  • 1
  • 1
  • 1
  • 1
  • 1
This SFTPA2 antibody is un-conjugated

Application

  • 16
  • 9
  • 3
  • 2
  • 2
  • 1
  • 1
  • 1
Western Blotting (WB), Immunohistochemistry (IHC), Immunoprecipitation (IP), Immunocytochemistry (ICC)
  • Binding Specificity

    • 7
    • 5
    • 3
    • 1
    • 1
    • 1
    • 1
    • 1
    AA 21-114

    Purpose

    Polyclonal Antibody to Surfactant Associated Protein A2 (SPA2)

    Specificity

    The antibody is a rabbit polyclonal antibody raised against SPA2. It has been selected for its ability to recognize SPA2 in immunohistochemical staining and western blotting.

    Cross-Reactivity

    Mouse, Rat

    Purification

    Antigen-specific affinity chromatography followed by Protein A affinity chromatography

    Immunogen

    Recombinant Surfactant Associated Protein A2 (SPA2) corresdonding to Glu21~Phe114 linked with EVKDVCVGTR EESLFQCEF with N-terminal His and GST Tag

    Isotype

    IgG
  • Application Notes

    Western blotting: 0.5-2 μg/mL,Immunohistochemistry: 5-20 μg/mL,Immunocytochemistry: 5-20 μg/mL,Optimal working dilutions must be determined by end user.

    Comment

    The thermal stability is described by the loss rate. The loss rate was determined by accelerated thermal degradation test, that is, incubate the protein at 37°C for 48h, and no obvious degradation and precipitation were observed. The loss rate is less than 5% within the expiration date under appropriate storage condition.

    Restrictions

    For Research Use only
  • Format

    Liquid

    Concentration

    500 μg/mL

    Buffer

    PBS, pH 7.4, containing 0.02 % Sodium azide, 50 % glycerol.

    Preservative

    Sodium azide

    Precaution of Use

    This product contains Sodium azide: a POISONOUS AND HAZARDOUS SUBSTANCE which should be handled by trained staff only.

    Storage

    4 °C,-20 °C

    Storage Comment

    Store at 4°C for frequent use. Stored at -20°C in a manual defrost freezer for two year without detectable loss of activity. Avoid repeated freeze-thaw cycles.

    Expiry Date

    24 months
  • Target

    SFTPA2 (Surfactant Associated Protein A2 (SFTPA2))

    Alternative Name

    SPA2

    Background

    SFTPA2B, COLEC5, SP2A, SPA1 beta, SP-A2, SPAII, Collectin-5, Pulmonary Surfactant Protein A2, 35 kDa pulmonary surfactant-associated protein, Alveolar proteinosis protein

    UniProt

    Q8IWL1
You are here:
Chat with us!