Phone:
+1 877 302 8632
Fax:
+1 888 205 9894 (Toll-free)
E-Mail:
orders@antibodies-online.com

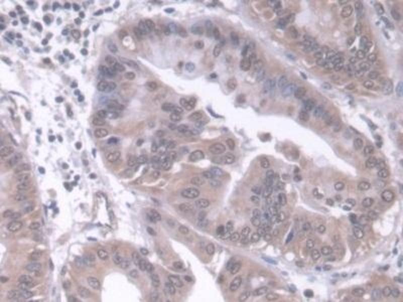
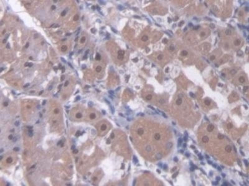
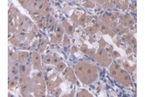
Retinoic Acid Receptor beta antibody (AA 205-451)

The Rabbit Polyclonal anti-Retinoic Acid Receptor beta antibody (ABIN7441115) specifically detects Retinoic Acid Receptor beta in WB, IHC, ICC and IP. The antibody is reactive with Human samples.
Catalog No. ABIN7441115
$326.15
Plus shipping costs $50.00
Shipping to: United States
Delivery in 13 to 17 Business Days

Quick Overview for Retinoic Acid Receptor beta antibody (AA 205-451) (ABIN7441115)

Target

See all Retinoic Acid Receptor beta (RARB) Antibodies
Retinoic Acid Receptor beta (RARB) (Retinoic Acid Receptor, beta (RARB))

Reactivity

  • 84
  • 41
  • 7
  • 6
  • 5
  • 5
  • 4
  • 3
  • 3
  • 3
  • 2
Human

Host

  • 75
  • 9
Rabbit

Clonality

  • 65
  • 19
Polyclonal

Conjugate

  • 41
  • 5
  • 5
  • 4
  • 2
  • 2
  • 2
  • 2
  • 2
  • 2
  • 2
  • 2
  • 1
  • 1
  • 1
  • 1
  • 1
  • 1
  • 1
  • 1
  • 1
  • 1
  • 1
  • 1
  • 1
This Retinoic Acid Receptor beta antibody is un-conjugated

Application

  • 70
  • 31
  • 24
  • 20
  • 15
  • 13
  • 13
  • 9
  • 4
  • 1
  • 1
  • 1
  • 1
Western Blotting (WB), Immunohistochemistry (IHC), Immunocytochemistry (ICC), Immunoprecipitation (IP)
  • Binding Specificity

    • 15
    • 8
    • 8
    • 7
    • 6
    • 5
    • 4
    • 2
    • 2
    • 1
    • 1
    • 1
    • 1
    • 1
    • 1
    • 1
    • 1
    • 1
    AA 205-451

    Purpose

    Polyclonal Antibody to Retinoic Acid Receptor Beta (RARb)

    Specificity

    The antibody is a rabbit polyclonal antibody raised against RARb. It has been selected for its ability to recognize RARb in immunohistochemical staining and western blotting.

    Cross-Reactivity

    Mouse, Rat

    Purification

    Antigen-specific affinity chromatography followed by Protein A affinity chromatography

    Immunogen

    Recombinant Retinoic Acid Receptor Beta (RARb) corresdonding to Leu205~Ser451 with N-terminal His Tag

    Isotype

    IgG
  • Application Notes

    Western blotting: 0.01-2 μg/mL,Immunohistochemistry: 5-20 μg/mL,Immunocytochemistry: 5-20 μg/mL,Optimal working dilutions must be determined by end user.

    Comment

    The thermal stability is described by the loss rate. The loss rate was determined by accelerated thermal degradation test, that is, incubate the protein at 37°C for 48h, and no obvious degradation and precipitation were observed. The loss rate is less than 5% within the expiration date under appropriate storage condition.

    Restrictions

    For Research Use only
  • Format

    Liquid

    Concentration

    0.5 mg/mL

    Buffer

    0.01M PBS, pH 7.4, containing 0.05 % Proclin-300, 50 % glycerol.

    Preservative

    ProClin

    Precaution of Use

    This product contains ProClin: a POISONOUS AND HAZARDOUS SUBSTANCE which should be handled by trained staff only.

    Storage

    4 °C,-20 °C

    Storage Comment

    Store at 4°C for frequent use. Stored at -20°C in a manual defrost freezer for two year without detectable loss of activity. Avoid repeated freeze-thaw cycles.

    Expiry Date

    24 months
  • Target

    Retinoic Acid Receptor beta (RARB) (Retinoic Acid Receptor, beta (RARB))

    Alternative Name

    RARb

    Background

    HAP, NR1B2, RRB2, RAR-epsilon, HBV-activated protein, Nuclear receptor subfamily 1 group B member 2

    UniProt

    P10826

    Pathways

    Nuclear Receptor Transcription Pathway, Retinoic Acid Receptor Signaling Pathway, Steroid Hormone Mediated Signaling Pathway
You are here:
Chat with us!