Phone:
+1 877 302 8632
Fax:
+1 888 205 9894 (Toll-free)
E-Mail:
orders@antibodies-online.com

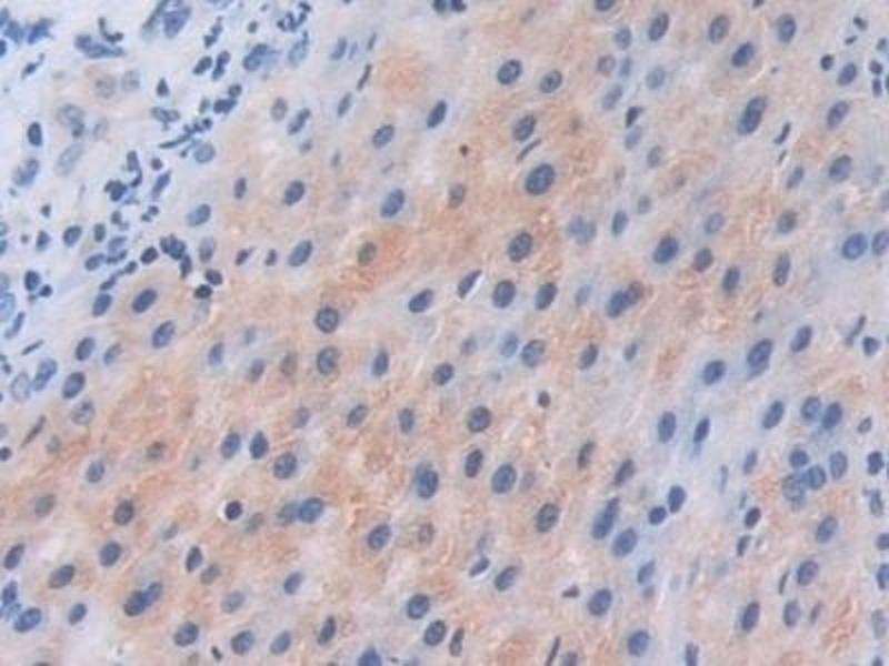
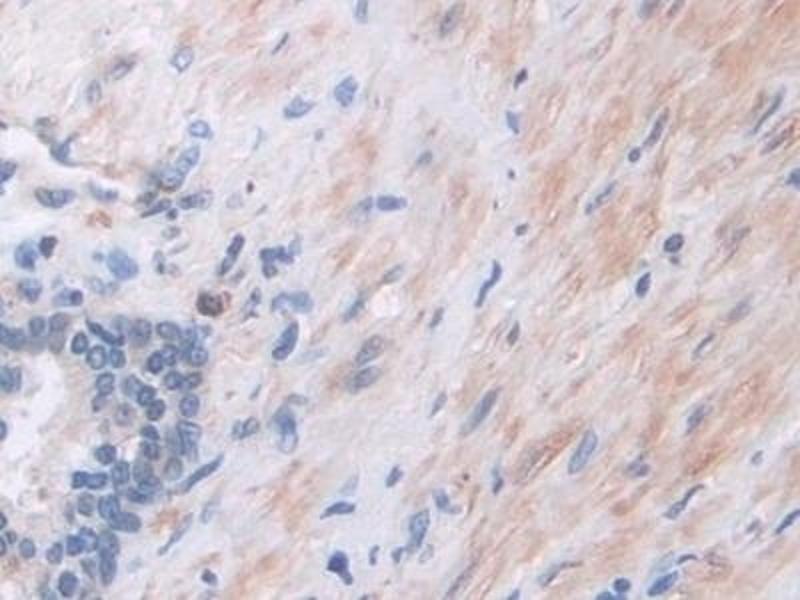
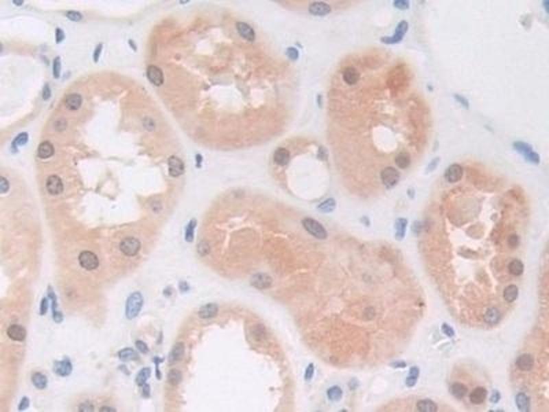
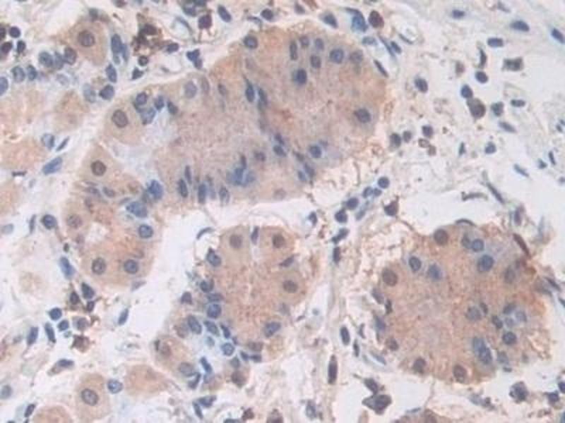
PIK3CB antibody (AA 807-1070)

The Rabbit Polyclonal anti-PIK3CB antibody (ABIN7437749) specifically detects PIK3CB in WB, IHC, FACS and IF. The antibody is reactive with Human samples.
Catalog No. ABIN7437749
$326.15
Plus shipping costs $50.00
Shipping to: United States
Delivery in 13 to 17 Business Days

Quick Overview for PIK3CB antibody (AA 807-1070) (ABIN7437749)

Target

See all PIK3CB Antibodies
PIK3CB (Phosphoinositide-3-Kinase, Catalytic, beta Polypeptide (PIK3CB))

Reactivity

  • 125
  • 49
  • 49
  • 19
  • 18
  • 3
  • 3
  • 3
  • 3
  • 2
  • 1
  • 1
  • 1
Human

Host

  • 122
  • 4
Rabbit

Clonality

  • 91
  • 34
Polyclonal

Conjugate

  • 38
  • 15
  • 9
  • 7
  • 4
  • 4
  • 4
  • 4
  • 4
  • 4
  • 4
  • 3
  • 2
  • 2
  • 2
  • 2
  • 2
  • 2
  • 2
  • 2
  • 2
  • 2
  • 2
  • 2
  • 2
This PIK3CB antibody is un-conjugated

Application

  • 100
  • 41
  • 41
  • 26
  • 26
  • 26
  • 16
  • 15
  • 14
  • 14
  • 6
  • 2
  • 1
  • 1
  • 1
Western Blotting (WB), Immunohistochemistry (IHC), Flow Cytometry (FACS), Immunofluorescence (IF)
  • Binding Specificity

    • 16
    • 15
    • 11
    • 8
    • 6
    • 5
    • 4
    • 4
    • 3
    • 3
    • 3
    • 3
    • 2
    • 1
    • 1
    • 1
    • 1
    • 1
    • 1
    • 1
    • 1
    • 1
    • 1
    AA 807-1070

    Purpose

    Polyclonal Antibody to Phosphoinositide-3-Kinase Catalytic Beta Polypeptide (PIK3Cb)

    Specificity

    The antibody is a rabbit polyclonal antibody raised against PIK3Cb. It has been selected for its ability to recognize PIK3Cb in immunohistochemical staining and western blotting.

    Cross-Reactivity

    Rat

    Purification

    Antigen-specific affinity chromatography followed by Protein A affinity chromatography

    Immunogen

    Recombinant Phosphoinositide-3-Kinase Catalytic Beta Polypeptide (PIK3Cb) corresdonding to Gly807~Ser1070 (Accession # P42338)

    Isotype

    IgG
  • Application Notes

    Western blotting: 0.01-3 μg/mL,Immunohistochemistry: 5-30 μg/mL,Immunofluorescence:5-30 μg/mL,Flow cytometry:20 μg/mL,Optimal working dilutions must be determined by end user.,

    Comment

    The thermal stability is described by the loss rate. The loss rate was determined by accelerated thermal degradation test, that is, incubate the protein at 37°C for 48h, and no obvious degradation and precipitation were observed. The loss rate is less than 5% within the expiration date under appropriate storage condition.

    Restrictions

    For Research Use only
  • Format

    Liquid

    Concentration

    0.5 mg/mL

    Buffer

    0.01M PBS, pH 7.4, containing 0.05 % Proclin-300, 50 % glycerol.

    Preservative

    ProClin

    Precaution of Use

    This product contains ProClin: a POISONOUS AND HAZARDOUS SUBSTANCE which should be handled by trained staff only.

    Storage

    4 °C,-20 °C

    Storage Comment

    Store at 4°C for frequent use. Stored at -20°C in a manual defrost freezer for two year without detectable loss of activity. Avoid repeated freeze-thaw cycles.

    Expiry Date

    24 months
  • Target

    PIK3CB (Phosphoinositide-3-Kinase, Catalytic, beta Polypeptide (PIK3CB))

    Alternative Name

    PIK3Cb

    Background

    PI3K, PI3Kbeta, PIK3C1, p110-BETA, Phosphatidylinositol 4,5-bisphosphate 3-kinase 110 kDa catalytic subunit beta

    UniProt

    P42338
You are here:
Chat with us!