CECR1 antibody (AA 30-511)
Quick Overview for CECR1 antibody (AA 30-511) (ABIN7430045)
Target
See all CECR1 AntibodiesReactivity
Host
Clonality
Conjugate
Application
-
-
Binding Specificity
- AA 30-511
-
Purpose
- Polyclonal Antibody to Cat Eye Syndrome Chromosome Region, Candidate 1 (CECR1)
-
Specificity
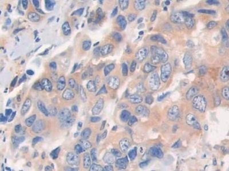
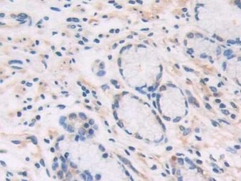
- The antibody is a rabbit polyclonal antibody raised against CECR1. It has been selected for its ability to recognize CECR1 in immunohistochemical staining and western blotting.
-
Cross-Reactivity
- Mouse, Rat
-
Purification
- Antigen-specific affinity chromatography followed by Protein A affinity chromatography
-
Immunogen
- Recombinant Cat Eye Syndrome Chromosome Region, Candidate 1 (CECR1) corresdonding to Ile30~Lys511 with N-terminal His Tag
-
Isotype
- IgG
-
-
-
-
Application Notes
- Western blotting: 0.01-2 μg/mL,Immunohistochemistry: 5-20 μg/mL,Immunocytochemistry: 5-20 μg/mL,Optimal working dilutions must be determined by end user.
-
Comment
-
The thermal stability is described by the loss rate. The loss rate was determined by accelerated thermal degradation test, that is, incubate the protein at 37°C for 48h, and no obvious degradation and precipitation were observed. The loss rate is less than 5% within the expiration date under appropriate storage condition.
-
Restrictions
- For Research Use only
-
-
-
Format
- Liquid
-
Concentration
- 0.5 mg/mL
-
Buffer
- PBS, pH 7.4, containing 0.02 % Sodium azide, 50 % glycerol.
-
Preservative
- Sodium azide
-
Precaution of Use
- This product contains Sodium azide: a POISONOUS AND HAZARDOUS SUBSTANCE which should be handled by trained staff only.
-
Storage
- 4 °C,-20 °C
-
Storage Comment
- Store at 4°C for frequent use. Stored at -20°C in a manual defrost freezer for two year without detectable loss of activity. Avoid repeated freeze-thaw cycles.
-
Expiry Date
- 24 months
-
-
- CECR1 (Cat Eye Syndrome Chromosome Region, Candidate 1 (CECR1))
-
Alternative Name
- CECR1
-
Background
- IDGFL, ADGF, ADA2, Cat Eye Syndrome Critical Region Protein 1
-
UniProt
- Q9NZK5
-
Pathways
- Ribonucleoside Biosynthetic Process
Target
-