Phone:
+1 877 302 8632
Fax:
+1 888 205 9894 (Toll-free)
E-Mail:
orders@antibodies-online.com

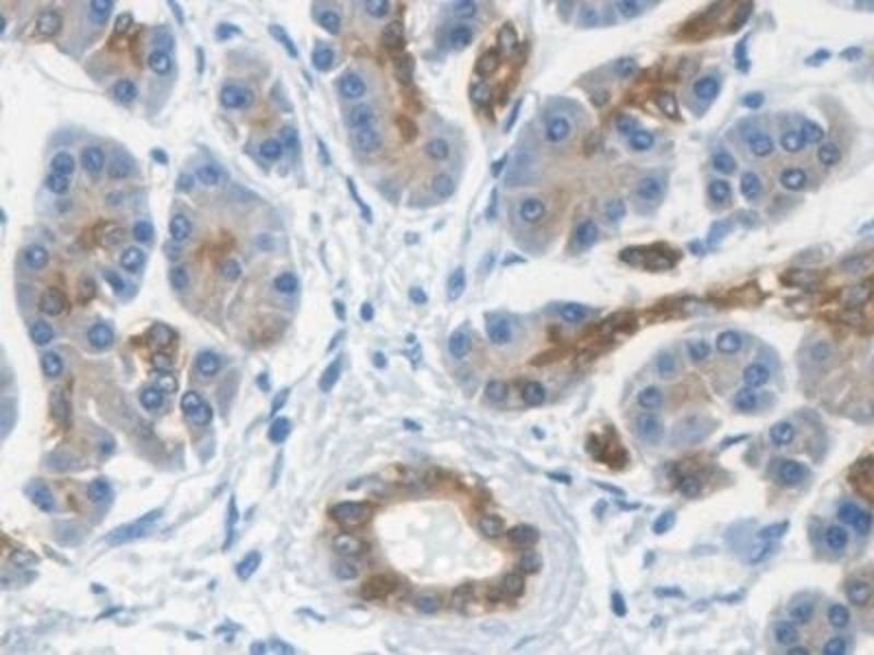
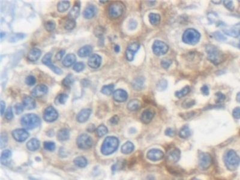
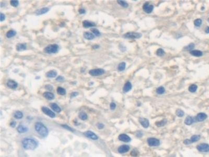
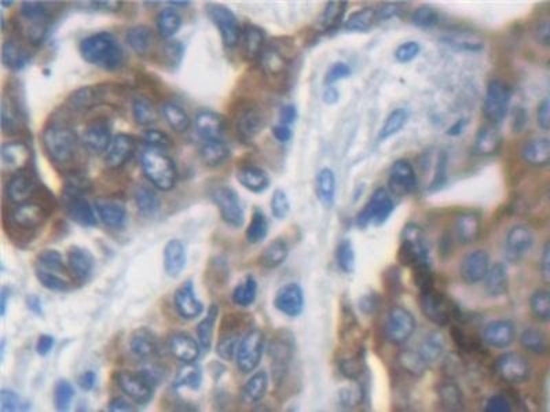
Keratin 33A antibody (AA 57-363)

The Rabbit Polyclonal anti-Keratin 33A antibody is suitable to detect Keratin 33A in samples from Human. It has been validated for WB, IHC, ICC and IF.
Catalog No. ABIN7441730
$351.18
Plus shipping costs $50.00
Shipping to: United States
Delivery in 13 to 17 Business Days

Quick Overview for Keratin 33A antibody (AA 57-363) (ABIN7441730)

Target

See all Keratin 33A (KRT33A) Antibodies
Keratin 33A (KRT33A)

Reactivity

  • 16
  • 12
Human

Host

  • 16
  • 1
  • 1
Rabbit

Clonality

  • 17
  • 1
Polyclonal

Conjugate

  • 13
  • 1
  • 1
  • 1
  • 1
  • 1
This Keratin 33A antibody is un-conjugated

Application

  • 17
  • 10
  • 2
  • 1
  • 1
  • 1
  • 1
Western Blotting (WB), Immunohistochemistry (IHC), Immunocytochemistry (ICC), Immunofluorescence (IF)
  • Binding Specificity

    • 7
    • 4
    • 2
    • 1
    • 1
    • 1
    AA 57-363

    Purpose

    Polyclonal Antibody to Keratin 33A (KRT33A)

    Specificity

    The antibody is a rabbit polyclonal antibody raised against KRT33A. It has been selected for its ability to recognize KRT33A in immunohistochemical staining and western blotting.

    Cross-Reactivity

    Mouse

    Purification

    Antigen-specific affinity chromatography followed by Protein A affinity chromatography

    Immunogen

    Recombinant Keratin 33A (KRT33A) corresdonding to Lys57~Glu363

    Isotype

    IgG
  • Application Notes

    Western blotting: 0.01-2 μg/mL,Immunohistochemistry: 5-20 μg/mL,Immunofluorescence:5-20 μg/mL,Optimal working dilutions must be determined by end user.

    Comment

    The thermal stability is described by the loss rate. The loss rate was determined by accelerated thermal degradation test, that is, incubate the protein at 37°C for 48h, and no obvious degradation and precipitation were observed. The loss rate is less than 5% within the expiration date under appropriate storage condition.

    Restrictions

    For Research Use only
  • Format

    Liquid

    Concentration

    0.5 mg/mL

    Buffer

    0.01M PBS, pH 7.4, containing 0.05 % Proclin-300, 50 % glycerol.

    Preservative

    ProClin

    Precaution of Use

    This product contains ProClin: a POISONOUS AND HAZARDOUS SUBSTANCE which should be handled by trained staff only.

    Storage

    4 °C,-20 °C

    Storage Comment

    Store at 4°C for frequent use. Stored at -20°C in a manual defrost freezer for two year without detectable loss of activity. Avoid repeated freeze-thaw cycles.

    Expiry Date

    24 months
  • Target

    Keratin 33A (KRT33A)

    Alternative Name

    KRT33A

    Background

    KRTHA3A, Ha-3I, Krt1-3, K33A, HHA3-I, HKA3A, Keratin,Hair,Acidic 3A, Hard Keratin Type I 3I, Keratin, type I cuticular Ha3-I

    UniProt

    O76009
You are here:
Chat with us!