Phone:
+1 877 302 8632
Fax:
+1 888 205 9894 (Toll-free)
E-Mail:
orders@antibodies-online.com

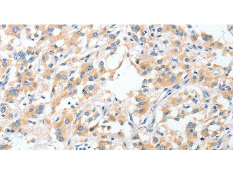
RPN1 antibody

The Rabbit Polyclonal anti-RPN1 antibody (ABIN7236038) specifically detects RPN1 in WB, IHC and ELISA. The antibody is reactive with Human, Mouse and Rat samples.
Catalog No. ABIN7236038
$538.80
Plus shipping costs $50.00
Shipping to: United States
Delivery in 11 to 15 Business Days

Quick Overview for RPN1 antibody (ABIN7236038)

Target

See all RPN1 Antibodies
RPN1 (Ribophorin 1 (RPN1))

Reactivity

  • 72
  • 27
  • 13
  • 5
  • 3
  • 3
  • 3
  • 3
  • 2
  • 2
  • 2
  • 1
Human, Mouse, Rat

Host

  • 69
  • 10
Rabbit

Clonality

  • 67
  • 12
Polyclonal

Conjugate

  • 39
  • 12
  • 9
  • 3
  • 2
  • 2
  • 2
  • 2
  • 2
  • 2
  • 2
  • 2
This RPN1 antibody is un-conjugated

Application

  • 60
  • 24
  • 24
  • 12
  • 11
  • 10
  • 7
  • 5
  • 2
  • 1
Western Blotting (WB), Immunohistochemistry (IHC), ELISA
  • Characteristics

    Polyclonal Antibody

    Purification

    Affinity purification

    Immunogen

    Recombinant protein of human RPN1

    Isotype

    IgG
  • Application Notes

    WB 1:500-1:2000, IHC 1:25-1:100

    Restrictions

    For Research Use only
  • Format

    Liquid

    Concentration

    0.3 mg/mL

    Buffer

    PBS with 0.05 % sodium azide and 50 % glycerol, PH7.4

    Preservative

    Sodium azide

    Precaution of Use

    This product contains Sodium azide: a POISONOUS AND HAZARDOUS SUBSTANCE which should be handled by trained staff only.

    Storage

    -20 °C

    Storage Comment

    Store at -20°C. Avoid freeze / thaw cycles.
  • Target

    RPN1 (Ribophorin 1 (RPN1))

    Alternative Name

    RPN1

    Background

    This gene encodes a type I integral membrane protein found only in the rough endoplasmic reticulum. The encoded protein is part of an N-oligosaccharyl transferase complex that links high mannose oligosaccharides to asparagine residues found in the Asn-X-Ser/Thr consensus motif of nascent polypeptide chains. This protein forms part of the regulatory subunit of the 26S proteasome and may mediate binding of ubiquitin-like domains to this proteasome.

    Molecular Weight

    69 kDa

    UniProt

    P04843
You are here:
Chat with us!