Phone:
+1 877 302 8632
Fax:
+1 888 205 9894 (Toll-free)
E-Mail:
orders@antibodies-online.com

PIM2 antibody

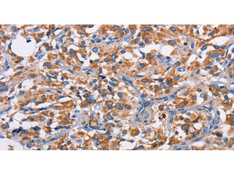
The Rabbit Polyclonal anti-PIM2 antibody is suitable to detect PIM2 in samples from Human and Mouse. It has been validated for IHC and ELISA.
Catalog No. ABIN7236123
$538.80
Plus shipping costs $50.00
Shipping to: United States
Delivery in 11 to 15 Business Days

Quick Overview for PIM2 antibody (ABIN7236123)

Target

See all PIM2 Antibodies
PIM2 (Proto-Oncogene Pim-2 (Serine Threonine Kinase) (PIM2))

Reactivity

  • 68
  • 27
  • 26
  • 2
  • 2
  • 2
  • 2
  • 1
  • 1
  • 1
  • 1
  • 1
  • 1
Human, Mouse

Host

  • 63
  • 7
  • 2
  • 1
Rabbit

Clonality

  • 44
  • 29
Polyclonal

Conjugate

  • 40
  • 4
  • 3
  • 3
  • 3
  • 3
  • 3
  • 3
  • 3
  • 2
  • 2
  • 2
  • 1
  • 1
This PIM2 antibody is un-conjugated

Application

  • 58
  • 41
  • 28
  • 19
  • 18
  • 17
  • 6
  • 5
  • 1
  • 1
Immunohistochemistry (IHC), ELISA
You are here:
Chat with us!