COMP
Reactivity: Human
WB, ELISA
Host: Rabbit
Polyclonal
unconjugated
Application Notes
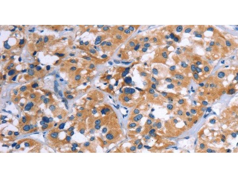
WB 1:500-1:2000, IHC 1:50-1:200
Restrictions
For Research Use only
Format
Liquid
Concentration
0.3 mg/mL
Buffer
PBS with 0.05 % sodium azide and 50 % glycerol, PH7.4
Preservative
Sodium azide
Precaution of Use
This product contains Sodium azide: a POISONOUS AND HAZARDOUS SUBSTANCE which should be handled by trained staff only.
Storage
-20 °C
Storage Comment
Store at -20°C. Avoid freeze / thaw cycles.
Target
COMP
(Cartilage Oligomeric Matrix Protein (COMP))
Alternative Name
COMP
Background
The protein encoded by this gene is a noncollagenous extracellular matrix (ECM) protein. It consists of five identical glycoprotein subunits, each with EGF-like and calcium-binding (thrombospondin-like) domains. Oligomerization results from formation of a five-stranded coiled coil and disulfides. Binding to other ECM proteins such as collagen appears to depend on divalent cations. Mutations can cause the osteochondrodysplasias pseudochondroplasia (PSACH) and multiple epiphyseal dysplasia (MED).