Phone:
+1 877 302 8632
Fax:
+1 888 205 9894 (Toll-free)
E-Mail:
orders@antibodies-online.com

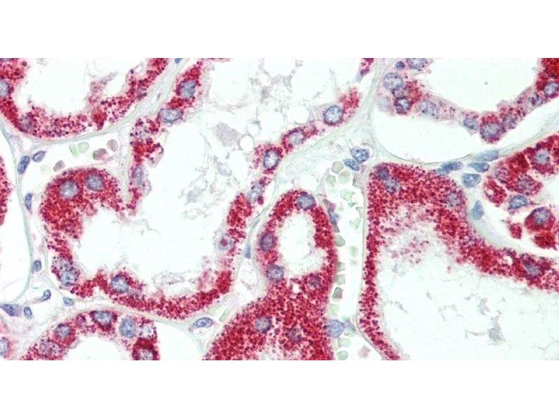
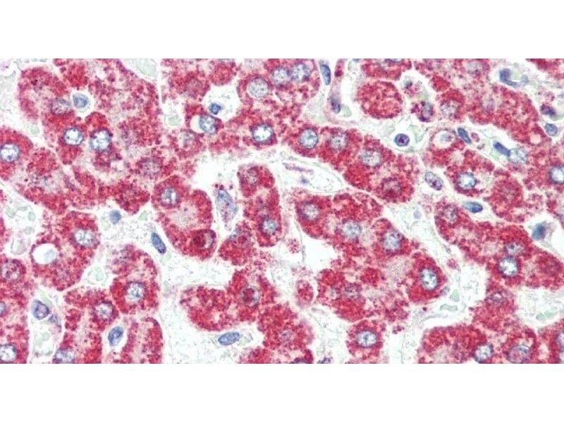
HSD17B8 antibody

The Rabbit Polyclonal anti-HSD17B8 antibody is suitable to detect HSD17B8 in samples from Human, Mouse and Rat. It has been validated for WB, IHC and ELISA.
Catalog No. ABIN7237190
$538.80
Plus shipping costs $50.00
Shipping to: United States
Delivery in 11 to 15 Business Days

Quick Overview for HSD17B8 antibody (ABIN7237190)

Target

See all HSD17B8 Antibodies
HSD17B8 (Hydroxysteroid (17-Beta) Dehydrogenase 8 (HSD17B8))

Reactivity

  • 36
  • 34
  • 19
  • 1
Human, Mouse, Rat

Host

  • 45
  • 6
Rabbit

Clonality

  • 31
  • 20
Polyclonal

Conjugate

  • 14
  • 4
  • 3
  • 3
  • 3
  • 3
  • 3
  • 3
  • 1
  • 1
  • 1
  • 1
  • 1
  • 1
  • 1
  • 1
  • 1
  • 1
  • 1
  • 1
  • 1
  • 1
  • 1
This HSD17B8 antibody is un-conjugated

Application

  • 36
  • 13
  • 13
  • 12
  • 6
  • 4
  • 3
  • 3
  • 1
  • 1
  • 1
Western Blotting (WB), Immunohistochemistry (IHC), ELISA
You are here:
Chat with us!