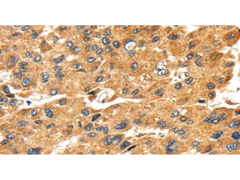
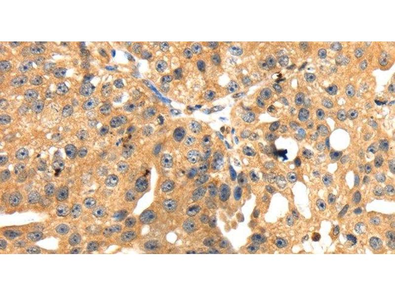
SH3KBP1 antibody
Quick Overview for SH3KBP1 antibody (ABIN7237685)
Target
See all SH3KBP1 AntibodiesReactivity
Host
Clonality
Conjugate
Application
-
-
Characteristics
- Polyclonal Antibody
-
Purification
- Affinity purification
-
Immunogen
- Recombinant protein of human SH3KBP1
-
Isotype
- IgG
-
-
-
-
Application Notes
- IHC 1:30-1:150
-
Restrictions
- For Research Use only
-
-
-
Format
- Liquid
-
Concentration
- 0.6 mg/mL
-
Buffer
- PBS with 0.05 % sodium azide and 50 % glycerol, PH7.4
-
Preservative
- Sodium azide
-
Precaution of Use
- This product contains Sodium azide: a POISONOUS AND HAZARDOUS SUBSTANCE which should be handled by trained staff only.
-
Storage
- -20 °C
-
Storage Comment
- Store at -20°C. Avoid freeze / thaw cycles.
-
-
- SH3KBP1 (SH3-Domain Kinase Binding Protein 1 (SH3KBP1))
-
Alternative Name
- SH3KBP1
-
Background
- This gene encodes an adapter protein that contains three N-terminal Src homology domains, a proline rich region and a C-terminal coiled-coil domain. The encoded protein facilitates protein-protein interactions and has been implicated in numerous cellular processes including apoptosis, cytoskeletal rearrangement, cell adhesion and in the regulation of clathrin-dependent endocytosis. Alternate splicing results in multiple transcript variants.
-
UniProt
- Q96B97
-
Pathways
- EGFR Signaling Pathway, EGFR Downregulation
Target
-