Phone:
+1 877 302 8632
Fax:
+1 888 205 9894 (Toll-free)
E-Mail:
orders@antibodies-online.com

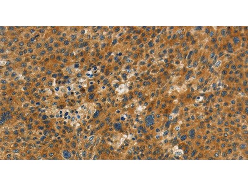
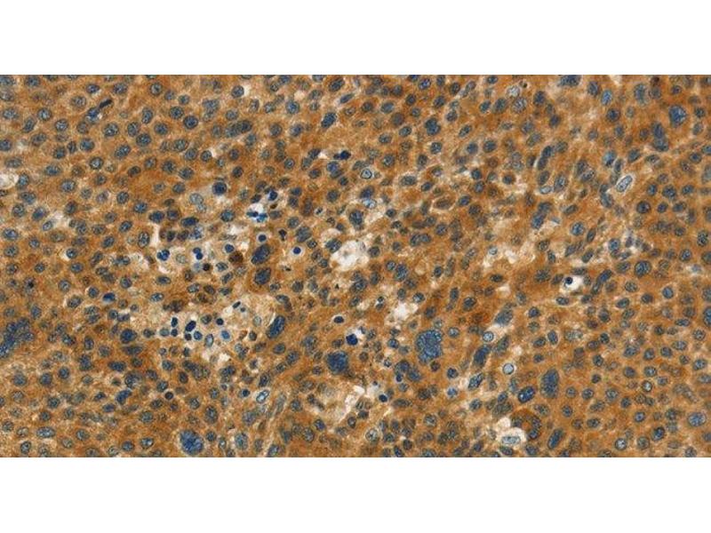
NPAP1 antibody

The Rabbit Polyclonal anti-NPAP1 antibody (ABIN7238615) specifically detects NPAP1 in IHC and ELISA. The antibody is reactive with Human samples.
Catalog No. ABIN7238615
$538.80
Plus shipping costs $50.00
Shipping to: United States
Delivery in 11 to 15 Business Days

Quick Overview for NPAP1 antibody (ABIN7238615)

Target

See all NPAP1 Antibodies
NPAP1 (Nuclear Pore Associated Protein 1 (NPAP1))

Reactivity

Human

Host

  • 23
Rabbit

Clonality

  • 23
Polyclonal

Conjugate

  • 3
  • 1
  • 1
  • 1
  • 1
  • 1
  • 1
  • 1
  • 1
  • 1
  • 1
  • 1
  • 1
  • 1
  • 1
  • 1
  • 1
  • 1
  • 1
  • 1
  • 1
This NPAP1 antibody is un-conjugated

Application

  • 17
  • 13
  • 4
  • 1
Immunohistochemistry (IHC), ELISA
You are here:
Chat with us!