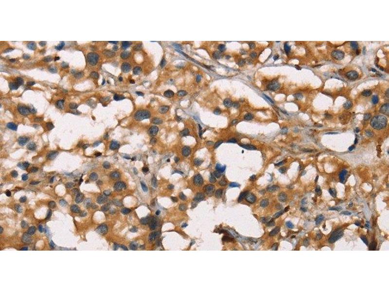
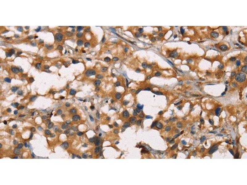
SENP1 antibody
Quick Overview for SENP1 antibody (ABIN7238627)
Target
See all SENP1 AntibodiesReactivity
Host
Clonality
Conjugate
Application
-
-
Characteristics
- Polyclonal Antibody
-
Purification
- Affinity purification
-
Immunogen
- Synthetic peptide of human SENP1
-
Isotype
- IgG
-
-
-
-
Application Notes
- WB 1:500-1:2000, IHC 1:50-1:200
-
Restrictions
- For Research Use only
-
-
-
Format
- Liquid
-
Concentration
- 0.6 mg/mL
-
Buffer
- PBS with 0.05 % sodium azide and 50 % glycerol, PH7.4
-
Preservative
- Sodium azide
-
Precaution of Use
- This product contains Sodium azide: a POISONOUS AND HAZARDOUS SUBSTANCE which should be handled by trained staff only.
-
Storage
- -20 °C
-
Storage Comment
- Store at -20°C. Avoid freeze / thaw cycles.
-
-
- SENP1 (SUMO1/sentrin Specific Peptidase 1 (SENP1))
-
Alternative Name
- SENP1
-
Background
- This gene encodes a cysteine protease that specifically targets members of the small ubiquitin-like modifier (SUMO) protein family. This protease regulates SUMO pathways by deconjugating sumoylated proteins. This protease also functions to process the precursor SUMO proteins into their mature form. Alternate splicing results in multiple transcript variants.
-
Molecular Weight
- 73 kDa
-
NCBI Accession
- NP_001254523
-
UniProt
- Q9P0U3
-
Pathways
- Positive Regulation of Endopeptidase Activity
Target
-