Phone:
+1 877 302 8632
Fax:
+1 888 205 9894 (Toll-free)
E-Mail:
orders@antibodies-online.com

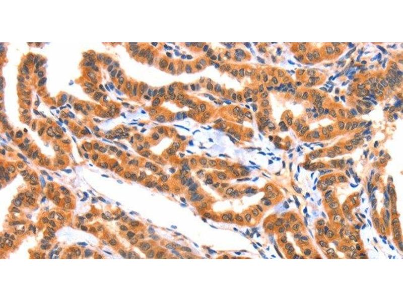
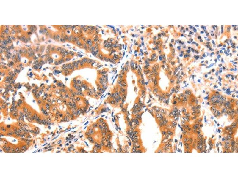
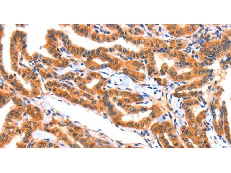
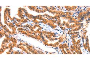
Adenylate Kinase 5 antibody

The Rabbit Polyclonal anti-Adenylate Kinase 5 antibody (ABIN7238633) specifically detects Adenylate Kinase 5 in ELISA and IHC. The antibody is reactive with Human and Mouse samples.
Catalog No. ABIN7238633
$538.80
Plus shipping costs $50.00
Shipping to: United States
Delivery in 11 to 15 Business Days

Quick Overview for Adenylate Kinase 5 antibody (ABIN7238633)

Target

See all Adenylate Kinase 5 (AK5) Antibodies
Adenylate Kinase 5 (AK5)

Reactivity

  • 43
  • 18
  • 5
  • 2
  • 2
  • 2
  • 2
  • 2
  • 1
  • 1
  • 1
  • 1
  • 1
  • 1
  • 1
  • 1
  • 1
Human, Mouse

Host

  • 35
  • 8
Rabbit

Clonality

  • 36
  • 6
Polyclonal

Conjugate

  • 28
  • 3
  • 2
  • 2
  • 1
  • 1
  • 1
  • 1
  • 1
  • 1
  • 1
  • 1
This Adenylate Kinase 5 antibody is un-conjugated

Application

  • 31
  • 20
  • 18
  • 5
  • 3
  • 2
  • 1
  • 1
  • 1
ELISA, Immunohistochemistry (IHC)
  • Characteristics

    Polyclonal Antibody

    Purification

    Affinity purification

    Immunogen

    Synthetic peptide of human AK5

    Isotype

    IgG
  • Application Notes

    IHC 1:50-1:200

    Restrictions

    For Research Use only
  • Format

    Liquid

    Concentration

    0.6 mg/mL

    Buffer

    PBS with 0.05 % sodium azide and 50 % glycerol, PH7.4

    Preservative

    Sodium azide

    Precaution of Use

    This product contains Sodium azide: a POISONOUS AND HAZARDOUS SUBSTANCE which should be handled by trained staff only.

    Storage

    -20 °C

    Storage Comment

    Store at -20°C. Avoid freeze / thaw cycles.
  • Target

    Adenylate Kinase 5 (AK5)

    Alternative Name

    AK5

    Background

    This gene encodes a member of the adenylate kinase family, which is involved in regulating the adenine nucleotide composition within a cell by catalyzing the reversible transfer of phosphate groups among adenine nucleotides. This member is related to the UMP/CMP kinase of several species. It is located in the cytosol and expressed exclusively in brain. Alternatively spliced transcript variants encoding distinct isoforms have been identified for this gene.

    NCBI Accession

    NP_036225

    UniProt

    Q9Y6K8

    Pathways

    Nucleotide Phosphorylation, Ribonucleoside Biosynthetic Process
You are here:
Chat with us!