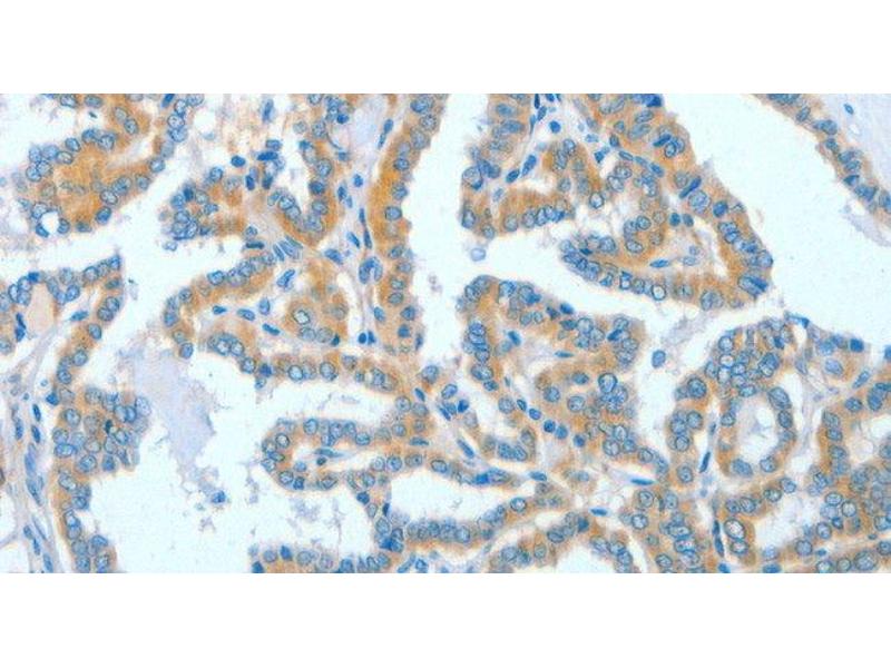
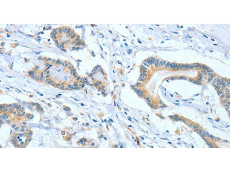
ASCC1
Reactivity: Human
WB, IHC, FACS, IF
Host: Mouse
Monoclonal
6G5
unconjugated
Application Notes
IHC 1:25-1:100
Restrictions
For Research Use only
Format
Liquid
Concentration
0.3 mg/mL
Buffer
PBS with 0.05 % sodium azide and 50 % glycerol, PH7.4
Preservative
Sodium azide
Precaution of Use
This product contains Sodium azide: a POISONOUS AND HAZARDOUS SUBSTANCE which should be handled by trained staff only.
Storage
-20 °C
Storage Comment
Store at -20°C. Avoid freeze / thaw cycles.
Target
ASCC1
(Activating Signal Cointegrator 1 Complex Subunit 1 (ASCC1))
Alternative Name
ASCC1
Background
This gene encodes a subunit of the activating signal cointegrator 1 (ASC-1) complex. The ASC-1 complex is a transcriptional coactivator that plays an important role in gene transactivation by multiple transcription factors including activating protein 1 (AP-1), nuclear factor kappa-B (NF-kB) and serum response factor (SRF). The encoded protein contains an N-terminal KH-type RNA-binding motif which is required for AP-1 transactivation by the ASC-1 complex. Mutations in this gene are associated with Barrett esophagus and esophageal adenocarcinoma. Alternatively spliced transcripts encoding multiple isoforms have been observed for this gene.