C10orf28
Reactivity: Human
WB, IF (cc), IF (p)
Host: Rabbit
Polyclonal
AbBy Fluor® 350
Application Notes
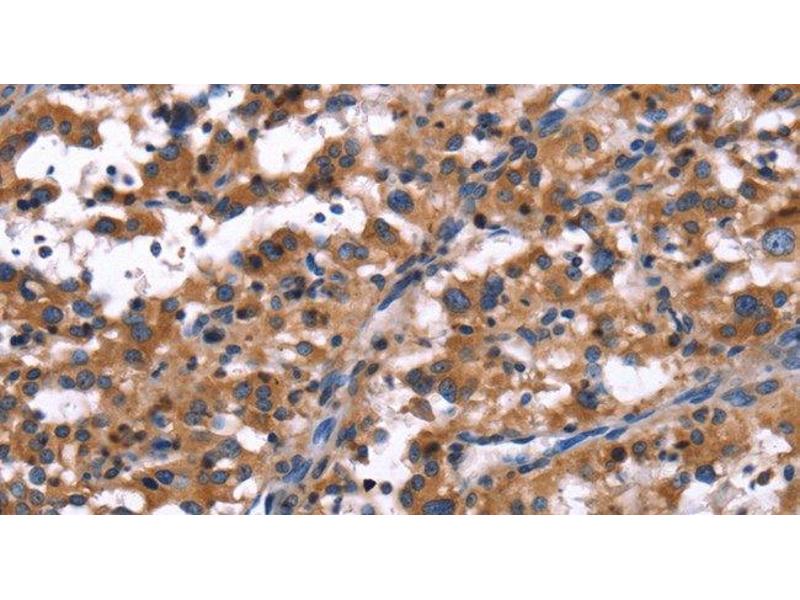
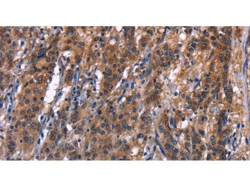
IHC 1:50-1:200
Restrictions
For Research Use only
Format
Liquid
Concentration
0.7 mg/mL
Buffer
PBS with 0.05 % sodium azide and 50 % glycerol, PH7.4
Preservative
Sodium azide
Precaution of Use
This product contains Sodium azide: a POISONOUS AND HAZARDOUS SUBSTANCE which should be handled by trained staff only.
Storage
-20 °C
Storage Comment
Store at -20°C. Avoid freeze / thaw cycles.
Target
GIDRP88 (C10orf28)
(Chromosome 10 Open Reading Frame 28 (C10orf28))
Alternative Name
R3HCC1L
Background
C10orf28 (chromosome 10 open reading frame 28), also known as GIDRP88 (growth inhibition and differentiation-related protein 88) or putative mitochondrial space protein 32.1, is a 792 amino acid protein that exists as three alternatively spliced isoforms. The gene encoding C10orf28 maps to human chromosome 10, which spans nearly 135 million base pairs, makes up approximately 4.5 % of total DNA in cells and encodes nearly 1,200 genes. Several protein-coding genes, including those that encode for chemokines, cadherins, excision repair proteins, early growth response factors (Egrs) and fibroblast growth receptors (FGFRs), are located on chromosome 10. Defects in some of the genes that map to chromosome 10 are associated with Charcot-Marie Tooth disease, Jackson-Weiss syndrome, Usher syndrome, nonsyndromatic deafness, Wolman's syndrome, Cowden syndrome, multiple endocrine neoplasia type 2 and porphyria.