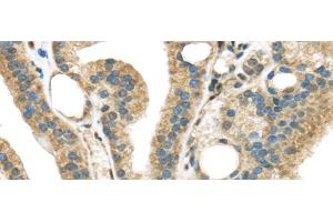
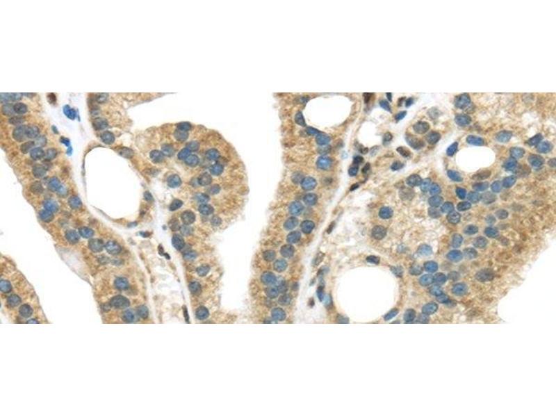
STK35 antibody
Quick Overview for STK35 antibody (ABIN7244297)
Target
See all STK35 AntibodiesReactivity
Host
Clonality
Conjugate
Application
-
-
Characteristics
- Polyclonal Antibody
-
Purification
- Affinity purification
-
Immunogen
- Synthetic peptide of human STK35
-
Isotype
- IgG
-
-
-
-
Application Notes
- IHC 1:30-150, ELISA 1:2000-10000
-
Restrictions
- For Research Use only
-
-
-
Format
- Liquid
-
Concentration
- 1 mg/mL
-
Buffer
- PBS with 0.05 % sodium azide and 50 % glycerol, PH7.4
-
Preservative
- Sodium azide
-
Precaution of Use
- This product contains Sodium azide: a POISONOUS AND HAZARDOUS SUBSTANCE which should be handled by trained staff only.
-
Storage
- -20 °C
-
Storage Comment
- Store at -20°C. Avoid freeze / thaw cycles.
-
-
- STK35 (Serine/threonine Kinase 35 (STK35))
-
Alternative Name
- STK35
-
Background
- The protein encoded by this gene is a kinase that is predominantly found in the nucleus. However, it can interact with PDLIM1/CLP-36 in the cytoplasm and localize to actin stress fibers. The encoded protein may be a regulator of actin stress fibers in nonmuscle cells.
-
NCBI Accession
- NP_543026
-
UniProt
- Q8TDR2
Target
-