Phone:
+1 877 302 8632
Fax:
+1 888 205 9894 (Toll-free)
E-Mail:
orders@antibodies-online.com

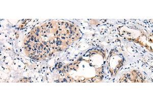
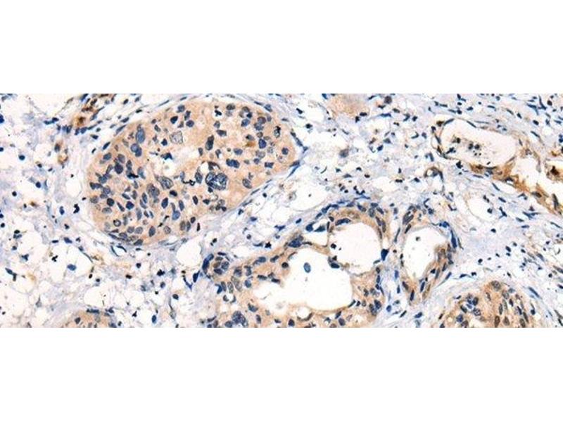
C16orf45 antibody

This Rabbit Polyclonal antibody specifically detects C16orf45 in IHC and ELISA. It exhibits reactivity toward Human, Mouse and Rat.
Catalog No. ABIN7244585
$538.80
Plus shipping costs $50.00
Shipping to: United States
Delivery in 11 to 15 Business Days

Quick Overview for C16orf45 antibody (ABIN7244585)

Target

C16orf45 (Chromosome 16 Open Reading Frame 45 (C16orf45))

Reactivity

Human, Mouse, Rat

Host

  • 16
Rabbit

Clonality

  • 16
Polyclonal

Conjugate

  • 4
  • 2
  • 1
  • 1
  • 1
  • 1
  • 1
  • 1
  • 1
  • 1
  • 1
  • 1
This C16orf45 antibody is un-conjugated

Application

  • 9
  • 7
  • 6
  • 2
  • 1
Immunohistochemistry (IHC), ELISA
  • Characteristics

    Polyclonal Antibody

    Purification

    Antigen affinity purification

    Immunogen

    Synthetic peptide of human C16orf45

    Isotype

    IgG
  • Application Notes

    IHC 1:30-1:150, ELISA 1:5000-1:10000

    Restrictions

    For Research Use only
  • Format

    Liquid

    Concentration

    0.7 mg/mL

    Buffer

    PBS with 0.05 % Sodium azide and 40 % Glycerol, pH 7.4

    Preservative

    Sodium azide

    Precaution of Use

    This product contains Sodium azide: a POISONOUS AND HAZARDOUS SUBSTANCE which should be handled by trained staff only.

    Storage

    -20 °C

    Storage Comment

    Store at -20°C. Avoid freeze / thaw cycles.
  • Target

    C16orf45 (Chromosome 16 Open Reading Frame 45 (C16orf45))

    Alternative Name

    C16orf45

    Background

    C16orf45, also known as FLJ32618, is a 204 amino acid protein encoded by a gene mapping to human chromosome 16. Chromosome 16 encodes over 900 genes in approximately 90 million base pairs, makes up nearly 3 % of human cellular DNA and is associated with a variety of genetic disorders. The GAN gene is located on chromosome 16 and, with mutation, may lead to giant axonal neuropathy, a nervous system disorder characterized by increasing malfunction with growth. The rare disorder Rubinstein-Taybi syndrome is also associated with chromosome 16, though through the CREBBP gene which encodes a critical CREB binding protein. Signs of Rubinstein-Taybi include mental retardation and predisposition to tumor growth and white blood cell neoplasias. Crohn's disease is a gastrointestinal inflammatory condition associated with chromosome 16 through the NOD2 gene. An association with systemic lupus erythematosis and a number of other autoimmune disorders with the pericentromeric region of chromosome 16 has led to the identification of SLC5A11 as a potential autoimmune modifier.

    UniProt

    Q96MC5
You are here:
Chat with us!