Phone:
+1 877 302 8632
Fax:
+1 888 205 9894 (Toll-free)
E-Mail:
orders@antibodies-online.com

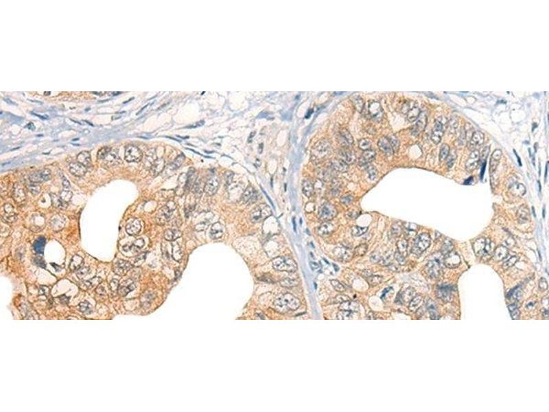
CORO2A antibody

This Rabbit Polyclonal antibody specifically detects CORO2A in ELISA and IHC. It exhibits reactivity toward Human.
Catalog No. ABIN7244738
$538.80
Plus shipping costs $50.00
Shipping to: United States
Delivery in 11 to 15 Business Days

Quick Overview for CORO2A antibody (ABIN7244738)

Target

See all CORO2A Antibodies
CORO2A (Coronin, Actin Binding Protein, 2A (CORO2A))

Reactivity

  • 18
  • 1
  • 1
Human

Host

  • 18
Rabbit

Clonality

  • 18
Polyclonal

Conjugate

  • 6
  • 2
  • 1
  • 1
  • 1
  • 1
  • 1
  • 1
  • 1
  • 1
  • 1
  • 1
This CORO2A antibody is un-conjugated

Application

  • 11
  • 7
  • 1
ELISA, Immunohistochemistry (IHC)
You are here:
Chat with us!