Tamalin/GRASP antibody
Quick Overview for Tamalin/GRASP antibody (ABIN7245044)
Target
See all Tamalin/GRASP (GRASP) AntibodiesReactivity
Host
Clonality
Conjugate
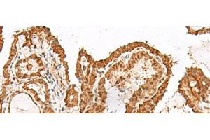
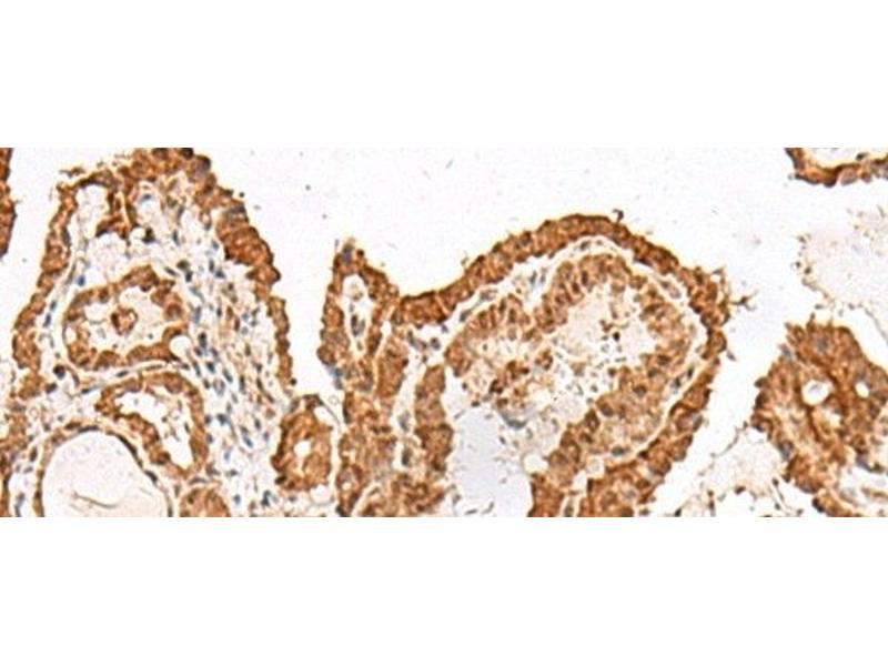
Application
-
-
Characteristics
- Polyclonal Antibody
-
Purification
- Antigen affinity purification
-
Immunogen
- Synthetic peptide of human GRASP
-
Isotype
- IgG
-
-
-
-
Application Notes
- IHC 1:50-1:300, ELISA 1:5000-1:10000
-
Restrictions
- For Research Use only
-
-
-
Format
- Liquid
-
Concentration
- 2.46 mg/mL
-
Buffer
- PBS with 0.05 % Sodium azide and 40 % Glycerol, pH 7.4
-
Preservative
- Sodium azide
-
Precaution of Use
- This product contains Sodium azide: a POISONOUS AND HAZARDOUS SUBSTANCE which should be handled by trained staff only.
-
Storage
- -20 °C
-
Storage Comment
- Store at -20°C. Avoid freeze / thaw cycles.
-
-
- Tamalin/GRASP (GRASP) (GRP1 (General Receptor For phosphoinositides 1)-Associated Scaffold Protein (GRASP))
-
Alternative Name
- GRASP
-
Background
- This gene encodes a protein that functions as a molecular scaffold, linking receptors, including group 1 metabotropic glutamate receptors, to neuronal proteins. The encoded protein contains conserved domains, including a leucine zipper sequence, PDZ domain and a C-terminal PDZ-binding motif. Alternately spliced transcript variants have been observed for this gene.
-
UniProt
- Q7Z6J2
Target
-