INSC
Reactivity: Human
IF (cc), IF (p)
Host: Rabbit
Polyclonal
Cy5.5
Application Notes
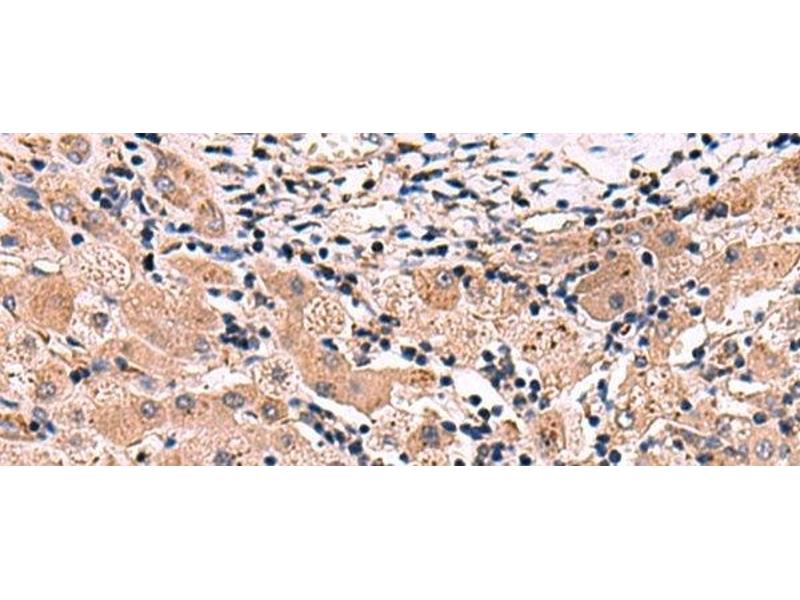
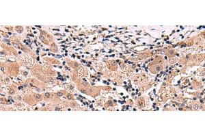
IHC 1:50-1:300, ELISA 1:5000-1:10000
Restrictions
For Research Use only
Format
Liquid
Concentration
1.92 mg/mL
Buffer
PBS with 0.05 % Sodium azide and 40 % Glycerol, pH 7.4
Preservative
Sodium azide
Precaution of Use
This product contains Sodium azide: a POISONOUS AND HAZARDOUS SUBSTANCE which should be handled by trained staff only.
Storage
-20 °C
Storage Comment
Store at -20°C. Avoid freeze / thaw cycles.
Target
INSC
(Inscuteable Homolog (INSC))
Alternative Name
INSC
Background
In Drosophila, neuroblasts divide asymmetrically into another neuroblast at the apical side and a smaller ganglion mother cell on the basal side. Cell polarization is precisely regulated by 2 apically localized multiprotein signaling complexes that are tethered by Inscuteable, which regulates their apical localization (Izaki et al., 2006 [PubMed 16458856]).