KANSL1L antibody
This Rabbit Polyclonal antibody specifically detects KANSL1L in ELISA and IHC. It exhibits reactivity toward Human.
Catalog No. ABIN7245407
$538.80
Plus shipping costs $50.00
Delivery in 11 to 15 Business Days
Quick Overview for KANSL1L antibody (ABIN7245407)
Target
KANSL1L
(KAT8 Regulatory NSL Complex Subunit 1-Like (KANSL1L))
Reactivity
Human
Host
Rabbit
Clonality
Polyclonal
Conjugate
This KANSL1L antibody is un-conjugated
Application
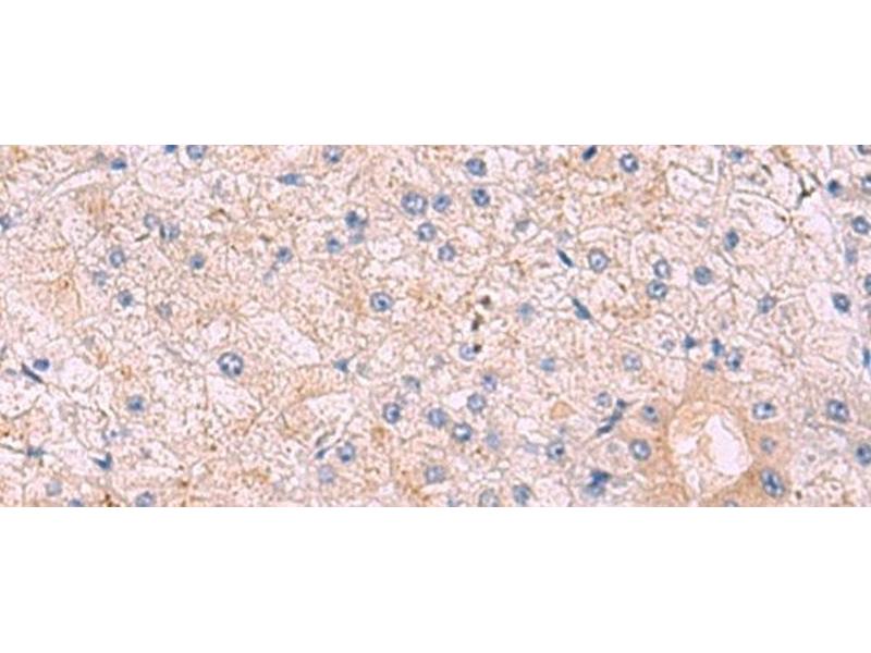
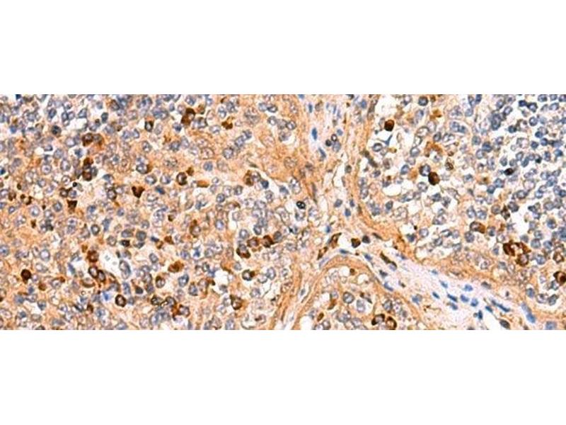
ELISA, Immunohistochemistry (IHC)
-
-
Characteristics
-
Polyclonal Antibody
-
Purification
-
Antigen affinity purification
-
Immunogen
-
Synthetic peptide of human KANSL1L
-
Isotype
-
IgG
-
-
-
Application Notes
-
IHC 1:30-1:150, ELISA 1:5000-1:10000
-
Restrictions
-
For Research Use only
-
-
Format
-
Liquid
-
Concentration
-
1.08 mg/mL
-
Buffer
-
PBS with 0.05 % Sodium azide and 40 % Glycerol, pH 7.4
-
Preservative
-
Sodium azide
-
Precaution of Use
-
This product contains Sodium azide: a POISONOUS AND HAZARDOUS SUBSTANCE which should be handled by trained staff only.
-
Storage
-
-20 °C
-
Storage Comment
-
Store at -20°C. Avoid freeze / thaw cycles.
-
Target
-
KANSL1L
(KAT8 Regulatory NSL Complex Subunit 1-Like (KANSL1L))
-
Alternative Name
-
KANSL1L
-
Background
-
The function of this protein remains unknown.
-
UniProt
-
A0AUZ9
-
You are here:
-
Homepage
-
anti-KANSL1L antibody (ABIN7245407)