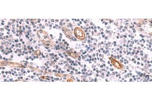
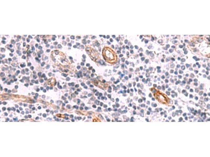
KCNK15 antibody
Quick Overview for KCNK15 antibody (ABIN7245440)
Target
See all KCNK15 AntibodiesReactivity
Host
Clonality
Conjugate
Application
-
-
Characteristics
- Polyclonal Antibody
-
Purification
- Antigen affinity purification
-
Immunogen
- Synthetic peptide of human KCNK15
-
Isotype
- IgG
-
-
-
-
Application Notes
- WB 1:1000-1:5000, IHC 1:25-1:100, ELISA 1:5000-1:10000
-
Restrictions
- For Research Use only
-
-
-
Format
- Liquid
-
Concentration
- 1.26 mg/mL
-
Buffer
- PBS with 0.05 % Sodium azide and 40 % Glycerol, pH 7.4
-
Preservative
- Sodium azide
-
Precaution of Use
- This product contains Sodium azide: a POISONOUS AND HAZARDOUS SUBSTANCE which should be handled by trained staff only.
-
Storage
- -20 °C
-
Storage Comment
- Store at -20°C. Avoid freeze / thaw cycles.
-
-
- KCNK15 (Potassium Channel Subfamily K Member 15 (KCNK15))
-
Alternative Name
- KCNK15
-
Background
- This gene encodes one of the members of the superfamily of potassium channel proteins containing two pore-forming P domains. The product of this gene has not been shown to be a functional channel, however, it may require other non-pore-forming proteins for activity. KCNK15 (Potassium Two Pore Domain Channel Subfamily K Member 15) is a Protein Coding gene. Among its related pathways are Neuropathic Pain-Signaling in Dorsal Horn Neurons and Sweet Taste Signaling. GO annotations related to this gene include potassium channel activity and potassium ion leak channel activity. An important paralog of this gene is KCNK9.
-
Molecular Weight
-
Observed_MW: Refer to figures
Calculated_MW: 36 kDa
-
UniProt
- Q9H427
Target
-