Phone:
+1 877 302 8632
Fax:
+1 888 205 9894 (Toll-free)
E-Mail:
orders@antibodies-online.com

HIST1H2BK antibody

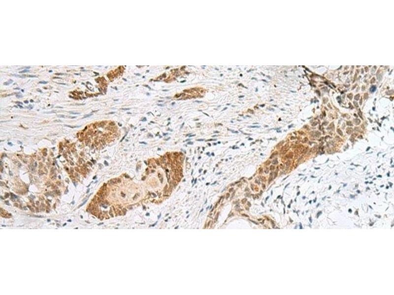
The Rabbit Polyclonal anti-HIST1H2BK antibody (ABIN7246763) specifically detects HIST1H2BK in ELISA and IHC. The antibody is reactive with Human and Mouse samples.
Catalog No. ABIN7246763
$538.80
Plus shipping costs $50.00
Shipping to: United States
Delivery in 11 to 15 Business Days

Quick Overview for HIST1H2BK antibody (ABIN7246763)

Target

See all HIST1H2BK Antibodies
HIST1H2BK (Histone H2B Type 1-K (HIST1H2BK))

Reactivity

  • 16
  • 8
  • 1
Human, Mouse

Host

  • 15
  • 1
Rabbit

Clonality

  • 13
  • 3
Polyclonal

Conjugate

  • 5
  • 2
  • 2
  • 1
  • 1
  • 1
  • 1
  • 1
  • 1
  • 1
This HIST1H2BK antibody is un-conjugated

Application

  • 6
  • 4
  • 3
  • 2
  • 2
  • 1
  • 1
  • 1
ELISA, Immunohistochemistry (IHC)
  • Characteristics

    Polyclonal Antibody

    Purification

    Antigen affinity purification

    Immunogen

    Fusion protein of human HIST1H2BK

    Isotype

    IgG
  • Application Notes

    IHC 1:30-1:150, ELISA 1:5000-1:10000

    Restrictions

    For Research Use only
  • Format

    Liquid

    Concentration

    0.72 mg/mL

    Buffer

    PBS with 0.05 % Sodium azide and 40 % Glycerol, pH 7.4

    Preservative

    Sodium azide

    Precaution of Use

    This product contains Sodium azide: a POISONOUS AND HAZARDOUS SUBSTANCE which should be handled by trained staff only.

    Storage

    -20 °C

    Storage Comment

    Store at -20°C. Avoid freeze / thaw cycles.
  • Target

    HIST1H2BK (Histone H2B Type 1-K (HIST1H2BK))

    Alternative Name

    HIST1H2BK

    Background

    Histones are basic nuclear proteins that are responsible for the nucleosome structure of the chromosomal fiber in eukaryotes. Two molecules of each of the four core histones (H2A, H2B, H3, and H4) form an octamer, around which approximately 146 bp of DNA is wrapped in repeating units, called nucleosomes. The linker histone, H1, interacts with linker DNA between nucleosomes and functions in the compaction of chromatin into higher order structures. This gene encodes a replication-dependent histone that is a member of the histone H2B family. The protein encoded is an antimicrobial protein with antibacterial and antifungal activity. Two transcripts that encode the same protein have been identified for this gene, which is found in the histone microcluster on chromosome 6p21.33.

    UniProt

    O60814
You are here:
Chat with us!