SNRPB2 antibody
Quick Overview for SNRPB2 antibody (ABIN7246907)
Target
See all SNRPB2 AntibodiesReactivity
Host
Clonality
Conjugate
Application
-
-
Characteristics
- Polyclonal Antibody
-
Purification
- Antigen affinity purification
-
Immunogen
- Fusion protein of human SNRPB2
-
Isotype
- IgG
-
-
-
-
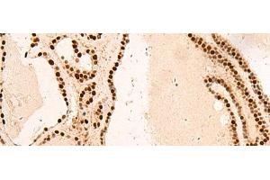
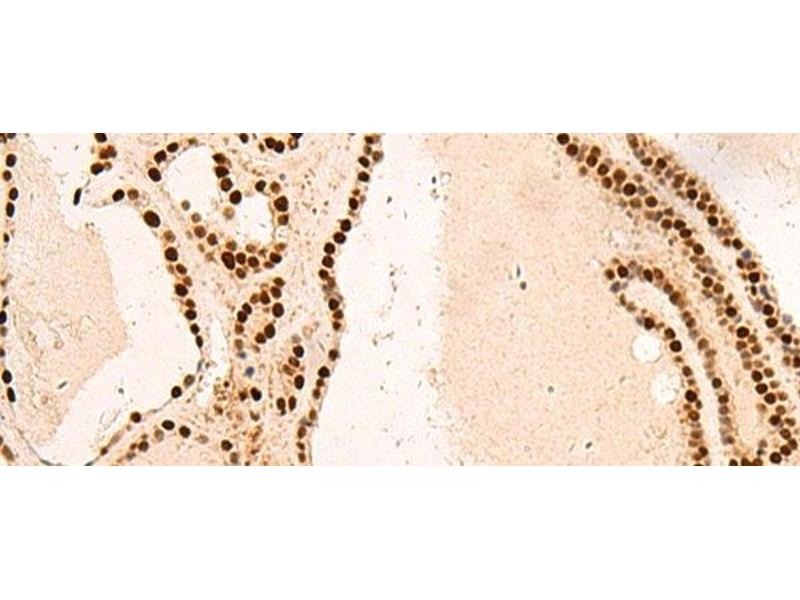
Application Notes
- WB 1:1000-1:5000, IHC 1:50-1:300, ELISA 1:5000-1:10000
-
Restrictions
- For Research Use only
-
-
-
Format
- Liquid
-
Concentration
- 1.32 mg/mL
-
Buffer
- PBS with 0.05 % Sodium azide and 40 % Glycerol, pH 7.4
-
Preservative
- Sodium azide
-
Precaution of Use
- This product contains Sodium azide: a POISONOUS AND HAZARDOUS SUBSTANCE which should be handled by trained staff only.
-
Storage
- -20 °C
-
Storage Comment
- Store at -20°C. Avoid freeze / thaw cycles.
-
-
- SNRPB2 (Small Nuclear Ribonucleoprotein Polypeptide B (SNRPB2))
-
Alternative Name
- SNRPB2
-
Background
- The protein encoded by this gene associates with stem loop IV of U2 small nuclear ribonucleoprotein (U2 snRNP) in the presence of snRNP-A'. The encoded protein may play a role in pre-mRNA splicing. Autoantibodies from patients with systemic lupus erythematosus frequently recognize epitopes on the encoded protein. Two transcript variants encoding the same protein have been found for this gene.
-
Molecular Weight
-
Observed_MW: Refer to figures
Calculated_MW: 25 kDa
-
UniProt
- P08579
-
Pathways
- Ribonucleoprotein Complex Subunit Organization
Target
-