Phone:
+1 877 302 8632
Fax:
+1 888 205 9894 (Toll-free)
E-Mail:
orders@antibodies-online.com

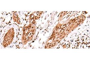
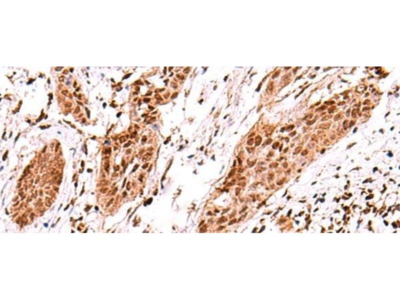
Adenylate Kinase 9 antibody

The Rabbit Polyclonal anti-Adenylate Kinase 9 antibody (ABIN7247150) specifically detects Adenylate Kinase 9 in ELISA and IHC. The antibody is reactive with Human samples.
Catalog No. ABIN7247150
$538.80
Plus shipping costs $50.00
Shipping to: United States
Delivery in 11 to 15 Business Days

Quick Overview for Adenylate Kinase 9 antibody (ABIN7247150)

Target

Adenylate Kinase 9 (AK9)

Reactivity

  • 13
  • 2
  • 1
  • 1
  • 1
  • 1
Human

Host

  • 12
  • 1
Rabbit

Clonality

  • 12
  • 1
Polyclonal

Conjugate

  • 6
  • 1
  • 1
  • 1
  • 1
  • 1
  • 1
  • 1
This Adenylate Kinase 9 antibody is un-conjugated

Application

  • 5
  • 1
  • 1
  • 1
ELISA, Immunohistochemistry (IHC)
  • Characteristics

    Polyclonal Antibody

    Purification

    Antigen affinity purification

    Immunogen

    Fusion protein of human AK9

    Isotype

    IgG
  • Application Notes

    IHC 1:50-1:300, ELISA 1:5000-1:10000

    Restrictions

    For Research Use only
  • Format

    Liquid

    Concentration

    1.02 mg/mL

    Buffer

    PBS with 0.05 % Sodium azide and 40 % Glycerol, pH 7.4

    Preservative

    Sodium azide

    Precaution of Use

    This product contains Sodium azide: a POISONOUS AND HAZARDOUS SUBSTANCE which should be handled by trained staff only.

    Storage

    -20 °C

    Storage Comment

    Store at -20°C. Avoid freeze / thaw cycles.
  • Target

    Adenylate Kinase 9 (AK9)

    Alternative Name

    AK9

    Background

    The protein encoded by this gene catalyzes the interconversion of nucleosides, possessing both nucleoside monophosphate and diphosphate kinase activities. The encoded protein uses these interconversions to maintain nucleoside homeostasis.

    UniProt

    Q5TCS8
You are here:
Chat with us!