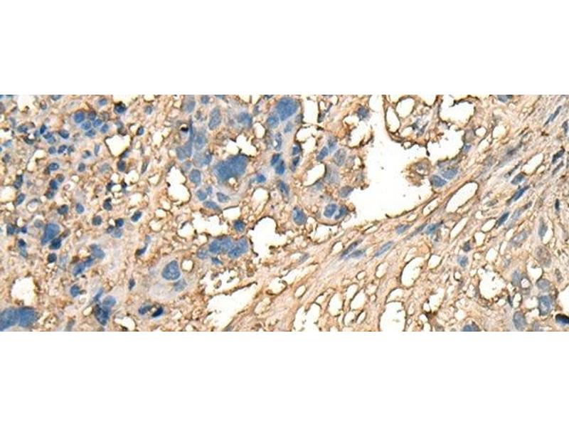
The Rabbit Polyclonal anti-CELA1 antibody (ABIN7248419) specifically detects CELA1 in IHC and ELISA.
The antibody is reactive with Human, Mouse and Rat samples.
PBS with 0.05 % Sodium azide and 40 % Glycerol, pH 7.4
Preservative
Sodium azide
Precaution of Use
This product contains Sodium azide: a POISONOUS AND HAZARDOUS SUBSTANCE which should be handled by trained staff only.
Storage
-20 °C
Storage Comment
Store at -20°C. Avoid freeze / thaw cycles.
Target
CELA1
(Chymotrypsin-Like Elastase Family, Member 1 (CELA1))
Alternative Name
CELA1
Background
Elastases form a subfamily of serine proteases that hydrolyze many proteins in addition to elastin. Humans have six elastase genes which encode the structurally similar proteins elastase 1, 2, 2A, 2B, 3A, and 3B. Unlike other elastases, pancreatic elastase 1 is not expressed in the pancreas. To date, elastase 1 expression has only been detected in skin keratinocytes. Clinical literature that describes human elastase 1 activity in the pancreas or fecal material is actually referring to chymotrypsin-like elastase family, member 3B.