Phone:
+1 877 302 8632
Fax:
+1 888 205 9894 (Toll-free)
E-Mail:
orders@antibodies-online.com

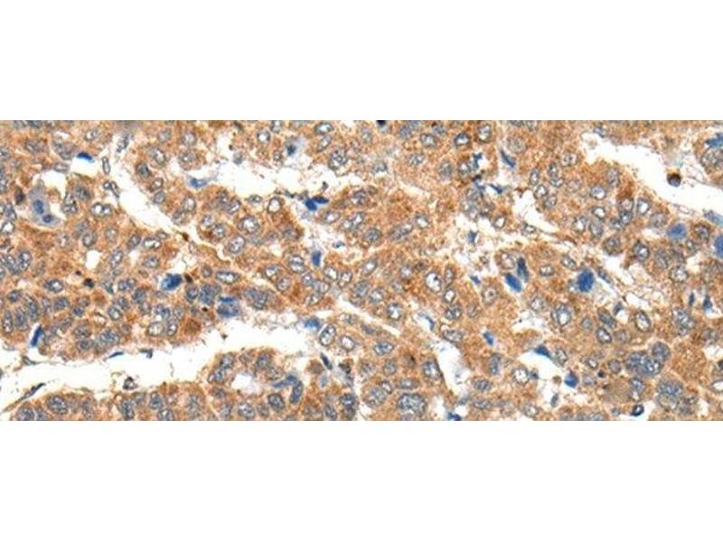
RPL14 antibody

This Rabbit Polyclonal antibody specifically detects RPL14 in WB, ELISA and IHC. It exhibits reactivity toward Human, Mouse and Rat.
Catalog No. ABIN7248467
$538.80
Plus shipping costs $50.00
Shipping to: United States
Delivery in 11 to 15 Business Days

Quick Overview for RPL14 antibody (ABIN7248467)

Target

See all RPL14 Antibodies
RPL14 (Ribosomal Protein L14 (RPL14))

Reactivity

  • 39
  • 10
  • 10
  • 2
  • 2
  • 1
  • 1
  • 1
  • 1
Human, Mouse, Rat

Host

  • 35
  • 4
Rabbit

Clonality

  • 36
  • 3
Polyclonal

Conjugate

  • 26
  • 3
  • 2
  • 2
  • 1
  • 1
  • 1
  • 1
  • 1
  • 1
This RPL14 antibody is un-conjugated

Application

  • 28
  • 18
  • 7
  • 7
  • 4
  • 2
  • 2
  • 1
Western Blotting (WB), ELISA, Immunohistochemistry (IHC)
  • Characteristics

    Polyclonal Antibody

    Purification

    Antigen affinity purification

    Immunogen

    Synthetic peptide of human RPL14

    Isotype

    IgG
  • Application Notes

    WB 1:500-1:2000, IHC 1:25-1:100, ELISA 1:5000-1:10000

    Restrictions

    For Research Use only
  • Format

    Liquid

    Concentration

    0.6 mg/mL

    Buffer

    PBS with 0.05 % Sodium azide and 40 % Glycerol, pH 7.4

    Preservative

    Sodium azide

    Precaution of Use

    This product contains Sodium azide: a POISONOUS AND HAZARDOUS SUBSTANCE which should be handled by trained staff only.

    Storage

    -20 °C

    Storage Comment

    Store at -20°C. Avoid freeze / thaw cycles.
  • Target

    RPL14 (Ribosomal Protein L14 (RPL14))

    Alternative Name

    RPL14

    Background

    Ribosomes, the organelles that catalyze protein synthesis, consist of a small 40S subunit and a large 60S subunit. Together these subunits are composed of 4 RNA species and approximately 80 structurally distinct proteins. This gene encodes a ribosomal protein that is a component of the 60S subunit. The protein belongs to the L14E family of ribosomal proteins. It contains a basic region-leucine zipper (bZIP)-like domain. The protein is located in the cytoplasm. This gene contains a trinucleotide (GCT) repeat tract whose length is highly polymorphic, these triplet repeats result in a stretch of alanine residues in the encoded protein. Transcript variants utilizing alternative polyA signals and alternative 5'-terminal exons exist but all encode the same protein. As is typical for genes encoding ribosomal proteins, there are multiple processed pseudogenes of this gene dispersed through the genome.

    Molecular Weight

    Observed_MW: Refer to figures

    Calculated_MW: 23 kDa

    UniProt

    P50914
You are here:
Chat with us!