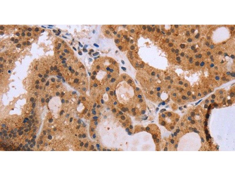
EPDR1
Reactivity: Mouse
WB, IF (cc), IF (p)
Host: Rabbit
Polyclonal
AbBy Fluor® 350
Application Notes
WB 1:500-1:2000, IHC 1:50-1:200
Restrictions
For Research Use only
Format
Liquid
Concentration
0.8 mg/mL
Buffer
PBS with 0.05 % sodium azide and 50 % glycerol, PH7.4
Preservative
Sodium azide
Precaution of Use
This product contains Sodium azide: a POISONOUS AND HAZARDOUS SUBSTANCE which should be handled by trained staff only.
Storage
-20 °C
Storage Comment
Store at -20°C. Avoid freeze / thaw cycles.
Target
EPDR1
(Ependymin Related Protein 1 (Zebrafish) (EPDR1))
Alternative Name
EPDR1
Background
The protein encoded by this gene is a type II transmembrane protein that is similar to two families of cell adhesion molecules, the protocadherins and ependymins. This protein may play a role in calcium-dependent cell adhesion. This protein is glycosylated, and the orthologous mouse protein is localized to the lysosome. Alternative splicing results in multiple transcript variants. A related pseudogene has been identified on chromosome 8.