Phone:
+1 877 302 8632
Fax:
+1 888 205 9894 (Toll-free)
E-Mail:
orders@antibodies-online.com

HES2 antibody

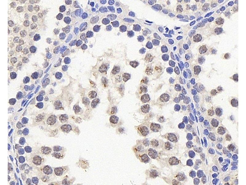
The Rabbit Polyclonal anti-HES2 antibody (ABIN7249800) specifically detects HES2 in IHC. The antibody is reactive with Rat samples.
Catalog No. ABIN7249800
$552.00
Plus shipping costs $50.00
Shipping to: United States
Delivery in 11 to 15 Business Days

Quick Overview for HES2 antibody (ABIN7249800)

Target

See all HES2 Antibodies
HES2 (Hairy and Enhancer of Split 2 (HES2))

Reactivity

  • 18
  • 12
  • 4
Rat

Host

  • 25
  • 3
Rabbit

Clonality

  • 25
  • 3
Polyclonal

Conjugate

  • 11
  • 2
  • 2
  • 2
  • 1
  • 1
  • 1
  • 1
  • 1
  • 1
  • 1
  • 1
  • 1
  • 1
  • 1
This HES2 antibody is un-conjugated

Application

  • 23
  • 13
  • 13
  • 13
  • 4
  • 3
  • 3
  • 1
  • 1
Immunohistochemistry (IHC)
You are here:
Chat with us!