Phone:
+1 877 302 8632
Fax:
+1 888 205 9894 (Toll-free)
E-Mail:
orders@antibodies-online.com

TUBE1 antibody

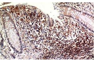
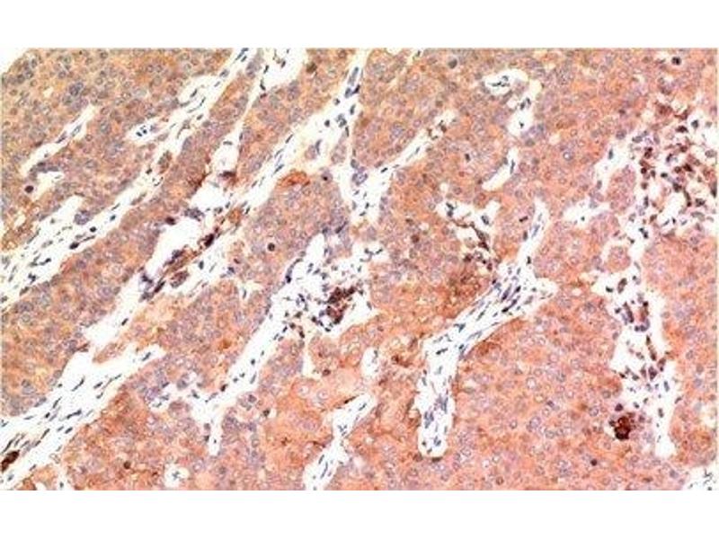
The Mouse Monoclonal anti-TUBE1 antibody (Clone 3C1) (ABIN7250614) specifically detects TUBE1 in IHC (p). The antibody is reactive with Human, Mouse and Rat samples.
Catalog No. ABIN7250614
$538.80
Plus shipping costs $50.00
Shipping to: United States
Delivery in 11 to 15 Business Days

Quick Overview for TUBE1 antibody (ABIN7250614)

Target

See all TUBE1 Antibodies
TUBE1 (Tubulin, epsilon 1 (TUBE1))

Reactivity

  • 22
  • 15
  • 12
  • 4
  • 4
  • 3
  • 3
  • 2
  • 2
  • 2
  • 1
  • 1
  • 1
Human, Mouse, Rat

Host

  • 12
  • 12
Mouse

Clonality

  • 12
  • 12
Monoclonal

Conjugate

  • 22
  • 1
  • 1
This TUBE1 antibody is un-conjugated

Application

  • 19
  • 8
  • 5
  • 4
  • 4
  • 3
  • 2
Immunohistochemistry (Paraffin-embedded Sections) (IHC (p))

Clone

3C1
  • Characteristics

    Monoclonal Antibody

    Purification

    Protein A purification

    Immunogen

    Synthetic Peptide of Epsilon Tubulin

    Isotype

    IgG
  • Application Notes

    IHC 1:100-200

    Restrictions

    For Research Use only
  • Format

    Liquid

    Concentration

    1 mg/mL

    Buffer

    PBS with 0.02 % sodium azide, 0.5 % BSA and 50 % glycerol, pH 7.4

    Preservative

    Sodium azide

    Precaution of Use

    This product contains Sodium azide: a POISONOUS AND HAZARDOUS SUBSTANCE which should be handled by trained staff only.

    Storage

    -20 °C

    Storage Comment

    Store at -20°C. Avoid freeze / thaw cycles.
  • Target

    TUBE1 (Tubulin, epsilon 1 (TUBE1))

    Alternative Name

    epsilon Tubulin

    Background

    This gene encodes a member of the tubulin superfamily. This protein localizes to the centriolar sub-distal appendages that are associated with the older of the two centrioles after centrosome duplication. This protein plays a central role in organization of the microtubules during centriole duplication. A pseudogene of this gene is found on chromosome 5. TUBE1 (Tubulin Epsilon 1) is a Protein Coding gene. Diseases associated with TUBE1 include Chronic Frontal Sinusitis and Frontal Sinusitis. Among its related pathways are Sertoli-Sertoli Cell Junction Dynamics and Chks in Checkpoint Regulation. GO annotations related to this gene include GTP binding and structural constituent of cytoskeleton. An important paralog of this gene is TUBB4B.

    UniProt

    Q9UJT0

    Pathways

    Microtubule Dynamics
You are here:
Chat with us!