DNAJC14 antibody
Quick Overview for DNAJC14 antibody (ABIN7252555)
Target
Reactivity
Host
Clonality
Conjugate
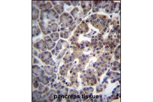
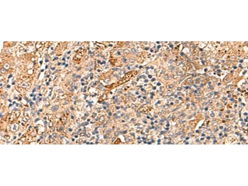
Application
-
-
Characteristics
- Polyclonal Antibody
-
Purification
- Antigen affinity purification
-
Immunogen
- Fusion protein of human DNAJC14
-
Isotype
- IgG
-
-
-
-
Application Notes
- WB 1:500-1:2000, IHC 1:50-1:300, ELISA 1:5000-1:10000
-
Restrictions
- For Research Use only
-
-
-
Format
- Liquid
-
Concentration
- 1.2 mg/mL
-
Buffer
- PBS with 0.05 % Sodium azide and 40 % Glycerol, pH 7.4
-
Preservative
- Sodium azide
-
Precaution of Use
- This product contains Sodium azide: a POISONOUS AND HAZARDOUS SUBSTANCE which should be handled by trained staff only.
-
Storage
- -20 °C
-
Storage Comment
- Store at -20°C. Avoid freeze / thaw cycles.
-
-
- DNAJC14 (DnaJ (Hsp40) Homolog, Subfamily C, Member 14 (DNAJC14))
-
Alternative Name
- DNAJC14
-
Background
- Regulates the export of target proteins, such as DRD1, from the endoplasmic reticulum to the cell surface.
-
Molecular Weight
-
Observed_MW: Refer to figures
Calculated_MW: 78 kDa
-
UniProt
- Q6Y2X3
Target
-