Phone:
+1 877 302 8632
Fax:
+1 888 205 9894 (Toll-free)
E-Mail:
orders@antibodies-online.com

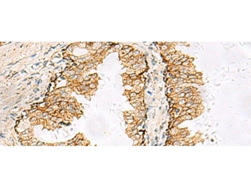
SH3YL1 antibody

This Rabbit Polyclonal antibody specifically detects SH3YL1 in IHC and ELISA. It exhibits reactivity toward Human, Mouse and Rat.
Catalog No. ABIN7253689
$538.80
Plus shipping costs $50.00
Shipping to: United States
Delivery in 11 to 15 Business Days

Quick Overview for SH3YL1 antibody (ABIN7253689)

Target

SH3YL1 (SH3 and SYLF Domain Containing 1 (SH3YL1))

Reactivity

Human, Mouse, Rat

Host

  • 3
  • 1
Rabbit

Clonality

  • 3
  • 1
Polyclonal

Conjugate

  • 4
This SH3YL1 antibody is un-conjugated

Application

  • 3
  • 1
  • 1
Immunohistochemistry (IHC), ELISA
  • Characteristics

    Polyclonal Antibody

    Purification

    Antigen affinity purification

    Immunogen

    Fusion protein of human SH3YL1

    Isotype

    IgG
  • Application Notes

    IHC 1:50-1:200, ELISA 1:5000-1:10000

    Restrictions

    For Research Use only
  • Format

    Liquid

    Concentration

    1.08 mg/mL

    Buffer

    PBS with 0.05 % Sodium azide and 40 % Glycerol, pH 7.4

    Preservative

    Sodium azide

    Precaution of Use

    This product contains Sodium azide: a POISONOUS AND HAZARDOUS SUBSTANCE which should be handled by trained staff only.

    Storage

    -20 °C

    Storage Comment

    Store at -20°C. Avoid freeze / thaw cycles.
  • Target

    SH3YL1 (SH3 and SYLF Domain Containing 1 (SH3YL1))

    Alternative Name

    SH3YL1

    Background

    The exact function of SH3YL1 remains unknown.

    UniProt

    Q96HL8
You are here:
Chat with us!