This product contains Sodium azide: a POISONOUS AND HAZARDOUS SUBSTANCE which should be handled by trained staff only.
Storage
-20 °C
Storage Comment
Store at -20°C. Avoid freeze / thaw cycles.
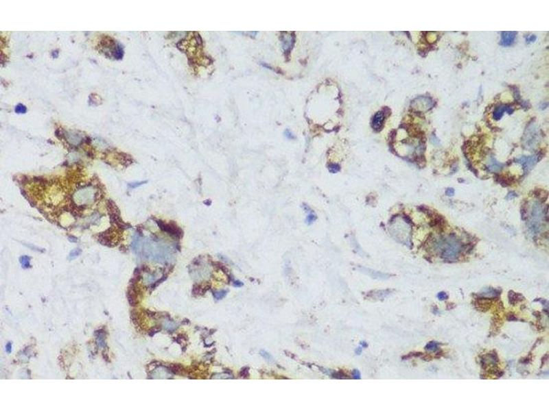
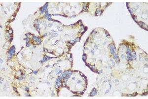
Target
ECH1
(Enoyl Coenzyme A Hydratase 1, Peroxisomal (ECH1))
Alternative Name
ECH1
Background
This gene encodes a member of the hydratase/isomerase superfamily. The gene product shows high sequence similarity to enoyl-coenzyme A (CoA) hydratases of several species, particularly within a conserved domain characteristic of these proteins. The encoded protein, which contains a C-terminal peroxisomal targeting sequence, localizes to the peroxisome. The rat ortholog, which localizes to the matrix of both the peroxisome and mitochondria, can isomerize 3-trans,5-cis-dienoyl-CoA to 2-trans,4-trans-dienoyl-CoA, indicating that it is a delta3,5-delta2,4-dienoyl-CoA isomerase. This enzyme functions in the auxiliary step of the fatty acid beta-oxidation pathway. Expression of the rat gene is induced by peroxisome proliferators.