Phone:
+1 877 302 8632
Fax:
+1 888 205 9894 (Toll-free)
E-Mail:
orders@antibodies-online.com

RPL32 antibody

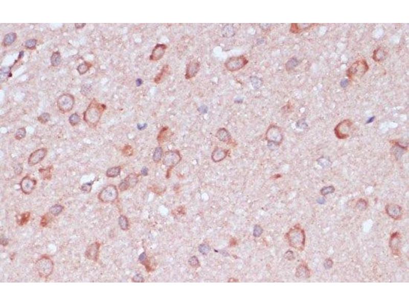
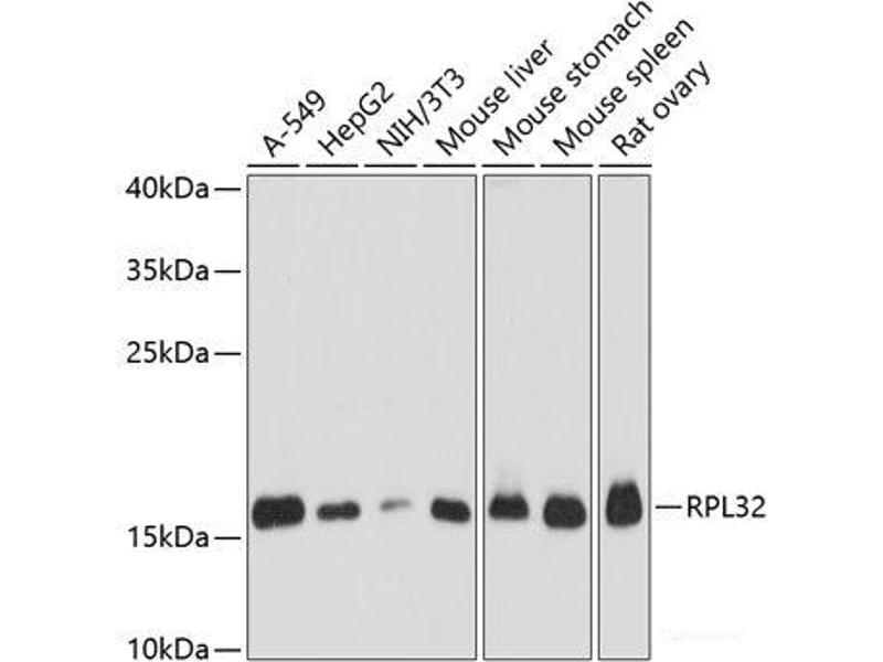
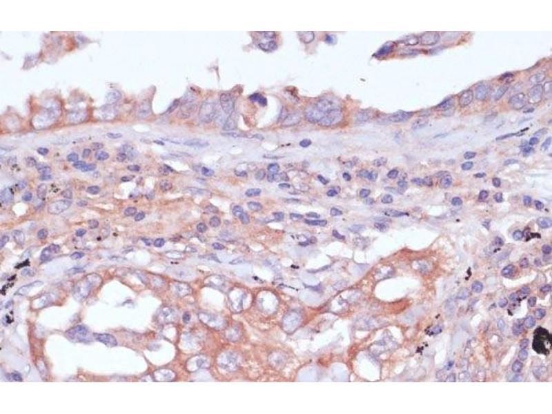
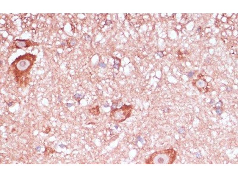
This Rabbit Polyclonal antibody specifically detects RPL32 in WB, IF and IHC. It exhibits reactivity toward Human, Mouse and Rat.
Catalog No. ABIN7256518
$696.00
Plus shipping costs $50.00
Shipping to: United States
Delivery in 11 to 15 Business Days

Quick Overview for RPL32 antibody (ABIN7256518)

Target

See all RPL32 Antibodies
RPL32 (Ribosomal Protein L32 (RPL32))

Reactivity

  • 17
  • 10
  • 10
  • 6
  • 4
  • 4
  • 4
  • 4
  • 3
  • 3
  • 2
  • 2
  • 2
  • 1
  • 1
  • 1
  • 1
  • 1
Human, Mouse, Rat

Host

  • 14
  • 4
Rabbit

Clonality

  • 15
  • 3
Polyclonal

Conjugate

  • 18
This RPL32 antibody is un-conjugated

Application

  • 15
  • 8
  • 6
  • 4
  • 3
  • 2
  • 1
Western Blotting (WB), Immunofluorescence (IF), Immunohistochemistry (IHC)
  • Characteristics

    Polyclonal Antibody

    Purification

    Affinity purification

    Immunogen

    Recombinant fusion protein of human RPL32 (NP_000985.1).

    Isotype

    IgG
  • Application Notes

    WB 1:500-1:2000 IHC 1:50-1:100 IF 1:50-1:100

    Restrictions

    For Research Use only
  • Format

    Liquid

    Concentration

    1 mg/mL

    Buffer

    PBS with 0.02 % sodium azide, 50 % glycerol, pH 7.3

    Preservative

    Sodium azide

    Precaution of Use

    This product contains Sodium azide: a POISONOUS AND HAZARDOUS SUBSTANCE which should be handled by trained staff only.

    Storage

    -20 °C

    Storage Comment

    Store at -20°C. Avoid freeze / thaw cycles.
  • Target

    RPL32 (Ribosomal Protein L32 (RPL32))

    Alternative Name

    RPL32

    Background

    Ribosomes, the organelles that catalyze protein synthesis, consist of a small 40S subunit and a large 60S subunit. Together these subunits are composed of 4 RNA species and approximately 80 structurally distinct proteins. This gene encodes a ribosomal protein that is a component of the 60S subunit. The protein belongs to the L32E family of ribosomal proteins. It is located in the cytoplasm. Although some studies have mapped this gene to 3q13.3-q21, it is believed to map to 3p25-p24. As is typical for genes encoding ribosomal proteins, there are multiple processed pseudogenes of this gene dispersed through the genome. Alternatively spliced transcript variants encoding the same protein have been observed for this gene.

    Molecular Weight

    Observed_MW: 16 kDa

    Calculated_MW: 15 kDa

    Gene ID

    6161

    UniProt

    P62910
You are here:
Chat with us!