Phone:
+1 877 302 8632
Fax:
+1 888 205 9894 (Toll-free)
E-Mail:
orders@antibodies-online.com

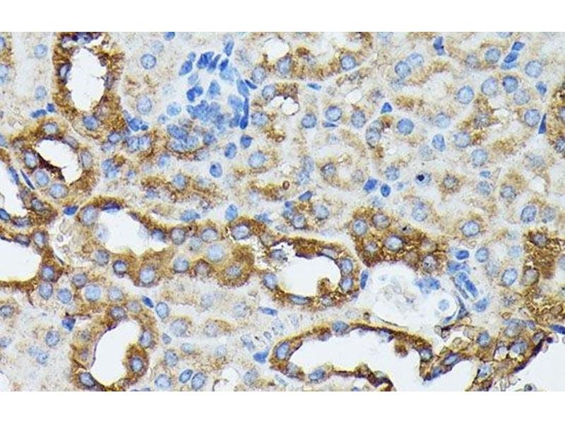
KRT14 antibody

The Rabbit Polyclonal anti-KRT14 antibody is suitable to detect KRT14 in samples from Human, Rat and Mouse. It has been validated for WB, IHC and IF.
Catalog No. ABIN7258338
$696.00
Plus shipping costs $50.00
Shipping to: United States
Delivery in 11 to 15 Business Days

Quick Overview for KRT14 antibody (ABIN7258338)

Target

See all KRT14 Antibodies
KRT14 (Keratin 14 (KRT14))

Reactivity

  • 147
  • 84
  • 70
  • 16
  • 6
  • 3
  • 3
  • 2
  • 2
  • 2
  • 1
  • 1
  • 1
  • 1
Human, Rat, Mouse

Host

  • 94
  • 57
  • 2
Rabbit

Clonality

  • 92
  • 60
  • 1
Polyclonal

Conjugate

  • 83
  • 8
  • 7
  • 4
  • 4
  • 4
  • 4
  • 4
  • 4
  • 2
  • 2
  • 2
  • 2
  • 2
  • 2
  • 2
  • 2
  • 2
  • 2
  • 1
  • 1
  • 1
  • 1
  • 1
  • 1
  • 1
  • 1
  • 1
  • 1
  • 1
This KRT14 antibody is un-conjugated

Application

  • 76
  • 76
  • 58
  • 52
  • 34
  • 31
  • 19
  • 17
  • 13
  • 13
  • 12
  • 12
  • 11
  • 2
  • 1
  • 1
  • 1
Western Blotting (WB), Immunohistochemistry (IHC), Immunofluorescence (IF)
  • Characteristics

    Polyclonal Antibody

    Purification

    Affinity purification

    Immunogen

    A synthetic peptide of human KRT14 (NP_000517.2).

    Isotype

    IgG
  • Application Notes

    WB 1:500-1:2000 IHC 1:50-1:100 IF 1:50-1:100

    Restrictions

    For Research Use only
  • Format

    Liquid

    Concentration

    1 mg/mL

    Buffer

    PBS with 0.02 % sodium azide, 50 % glycerol, pH 7.3

    Preservative

    Sodium azide

    Precaution of Use

    This product contains Sodium azide: a POISONOUS AND HAZARDOUS SUBSTANCE which should be handled by trained staff only.

    Storage

    -20 °C

    Storage Comment

    Store at -20°C. Avoid freeze / thaw cycles.
  • Target

    KRT14 (Keratin 14 (KRT14))

    Alternative Name

    KRT14

    Background

    This gene encodes a member of the keratin family, the most diverse group of intermediate filaments. This gene product, a type I keratin, is usually found as a heterotetramer with two keratin 5 Molecules, a type II keratin. Together they form the cytoskeleton of epithelial cells. Mutations in the genes for these keratins are associated with epidermolysis bullosa simplex. At least one pseudogene has been identified at 17p12-p11.

    Molecular Weight

    Observed_MW: 56 kDa

    Calculated_MW: 51 kDa

    Gene ID

    3861

    UniProt

    P02533
You are here:
Chat with us!