Phone:
+1 877 302 8632
Fax:
+1 888 205 9894 (Toll-free)
E-Mail:
orders@antibodies-online.com

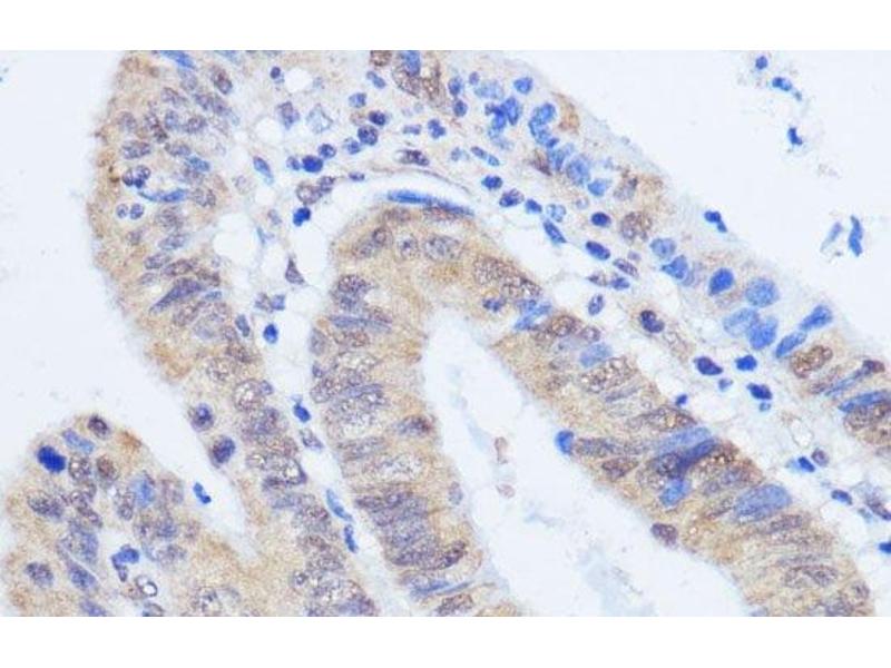
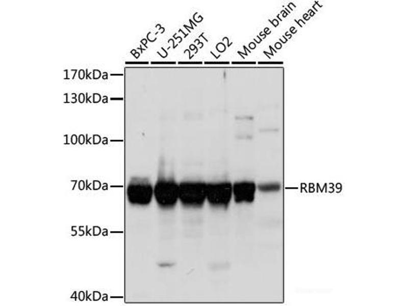
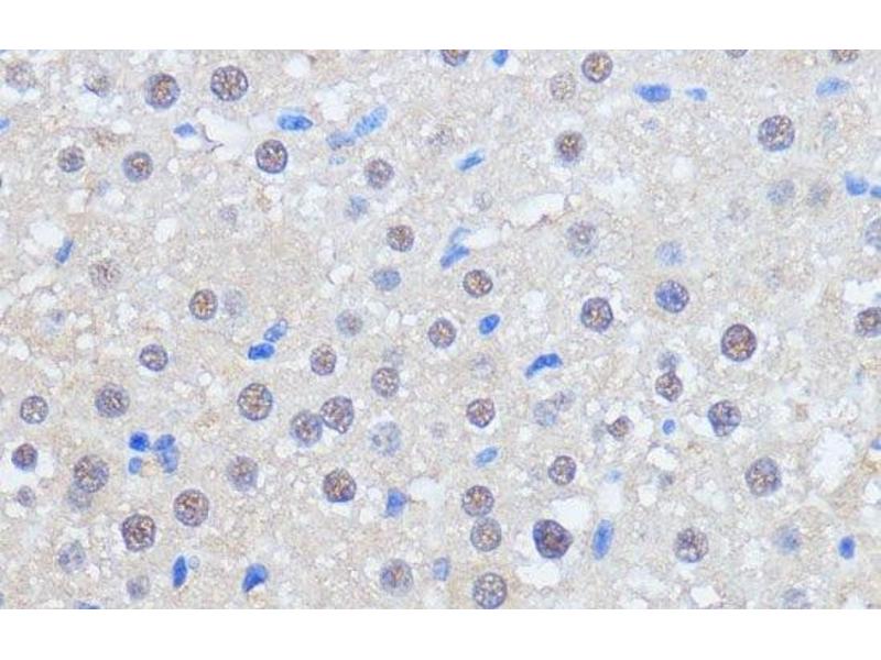
RBM39 antibody

This Rabbit Polyclonal antibody specifically detects RBM39 in WB, IHC and IF. It exhibits reactivity toward Human, Mouse and Rat.
Catalog No. ABIN7258648
$696.00
Plus shipping costs $50.00
Shipping to: United States
Delivery in 11 to 15 Business Days

Quick Overview for RBM39 antibody (ABIN7258648)

Target

See all RBM39 Antibodies
RBM39 (RNA Binding Motif Protein 39 (RBM39))

Reactivity

  • 40
  • 18
  • 15
  • 4
  • 3
  • 3
  • 3
  • 3
  • 3
  • 2
  • 2
  • 2
  • 2
  • 2
  • 1
Human, Mouse, Rat

Host

  • 38
  • 1
Rabbit

Clonality

  • 39
  • 1
Polyclonal

Conjugate

  • 27
  • 2
  • 2
  • 1
  • 1
  • 1
  • 1
  • 1
  • 1
  • 1
  • 1
  • 1
This RBM39 antibody is un-conjugated

Application

  • 31
  • 17
  • 9
  • 5
  • 2
  • 2
  • 1
  • 1
Western Blotting (WB), Immunohistochemistry (IHC), Immunofluorescence (IF)
  • Characteristics

    Polyclonal Antibody

    Purification

    Affinity purification

    Immunogen

    A synthetic peptide of human RBM39 (NP_001229528.1).

    Isotype

    IgG
  • Application Notes

    WB 1:500-1:2000 IHC 1:50-1:200 IF 1:50-1:200

    Restrictions

    For Research Use only
  • Format

    Liquid

    Concentration

    1 mg/mL

    Buffer

    PBS with 0.02 % sodium azide, 50 % glycerol, pH 7.3

    Preservative

    Sodium azide

    Precaution of Use

    This product contains Sodium azide: a POISONOUS AND HAZARDOUS SUBSTANCE which should be handled by trained staff only.

    Storage

    -20 °C

    Storage Comment

    Store at -20°C. Avoid freeze / thaw cycles.
  • Target

    RBM39 (RNA Binding Motif Protein 39 (RBM39))

    Alternative Name

    RBM39

    Background

    This gene encodes a member of the U2AF65 family of proteins. The encoded protein is found in the nucleus, where it co-localizes with core spliceosomal proteins. It has been shown to play a role in both steroid hormone receptor-mediated transcription and alternative splicing, and it is also a transcriptional coregulator of the viral oncoprotein v-Rel. Multiple transcript variants have been observed for this gene. A related pseudogene has been identified on chromosome X.

    Molecular Weight

    Observed_MW: 70 kDa

    Calculated_MW: 57 kDa/58 kDa/59 kDa

    Gene ID

    9584

    UniProt

    Q14498
You are here:
Chat with us!