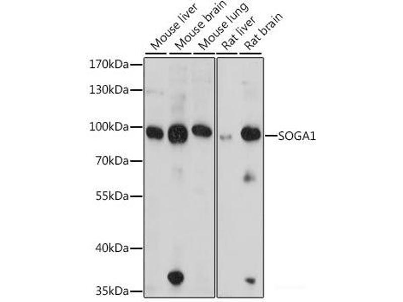
SOGA1 antibody
Quick Overview for SOGA1 antibody (ABIN7259270)
Target
See all SOGA1 AntibodiesReactivity
Host
Clonality
Conjugate
Application
-
-
Characteristics
- Polyclonal Antibody
-
Purification
- Affinity purification
-
Immunogen
- Recombinant fusion protein of human SOGA1 (NP_542194.2).
-
Isotype
- IgG
-
-
-
-
Application Notes
- WB 1:500-1:2000
-
Restrictions
- For Research Use only
-
-
-
Format
- Liquid
-
Concentration
- 1 mg/mL
-
Buffer
- PBS with 0.02 % sodium azide, 50 % glycerol, pH 7.3
-
Preservative
- Sodium azide
-
Precaution of Use
- This product contains Sodium azide: a POISONOUS AND HAZARDOUS SUBSTANCE which should be handled by trained staff only.
-
Storage
- -20 °C
-
Storage Comment
- Store at -20°C. Avoid freeze / thaw cycles.
-
-
- SOGA1 (Suppressor of Glucose, Autophagy Associated 1 (SOGA1))
-
Alternative Name
- SOGA1
-
Background
- SOGA1 (Suppressor Of Glucose, Autophagy Associated 1) is a Protein Coding gene. An important paralog of this gene is MTCL1.
-
Molecular Weight
-
Observed_MW: 80 kDa
Calculated_MW: 55 kDa/115 kDa/159 kDa/183 kDa
-
Gene ID
- 140710
-
UniProt
- O94964
Target
-