×
For best experience we recommend to activate Javascript in your browser.
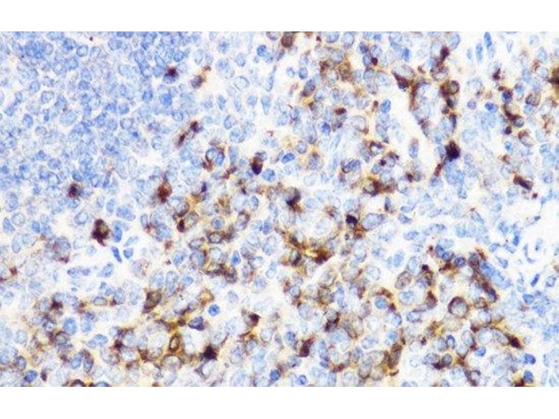
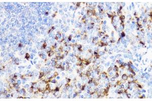
CHI3L1 antibody
The Rabbit Polyclonal anti-CHI3L1 antibody is suitable to detect CHI3L1 in samples from Human, Mouse and Rat. It has been validated for IHC and IF.
Catalog No. ABIN7259638
$696.00
Plus shipping costs $50.00
60 μL ABIN7009665
120 μL ABIN7259637
200 μL ABIN7259638
60 μL ABIN7009665
120 μL ABIN7259637
200 μL ABIN7259638
Delivery in 11 to 15 Business Days
Quick Overview for CHI3L1 antibody (ABIN7259638)
Target
See all CHI3L1 Antibodies
CHI3L1
(Chitinase 3-Like 1 (Cartilage Glycoprotein-39) (CHI3L1))
Reactivity
All reactivities for CHI3L1 antibodies
Human, Mouse, Rat
Host
All hosts for CHI3L1 antibodies
Rabbit
Clonality
All clonalities for CHI3L1 antibodies
Polyclonal
Conjugate
All conjugates for CHI3L1 antibodies
This CHI3L1 antibody is un-conjugated
Application
All applications for CHI3L1 antibodies
Immunohistochemistry (IHC), Immunofluorescence (IF)
Product Details anti-CHI3L1 Antibody
(hide)
Characteristics
Polyclonal Antibody
Purification
Affinity purification
Immunogen
Recombinant fusion protein of human YKL-40 / CHI3L1 (NP_001267.2).
Isotype
IgG
Alternatives
(show)
Application Details
(hide)
Application Notes
IHC 1:50-1:200 IF 1:50-1:200
Restrictions
For Research Use only
Handling
(hide)
Format
Liquid
Concentration
1 mg/mL
Buffer
PBS with 0.02 % sodium azide, 50 % glycerol, pH 7.3
Preservative
Sodium azide
Precaution of Use
This product contains Sodium azide: a POISONOUS AND HAZARDOUS SUBSTANCE which should be handled by trained staff only.
Storage
-20 °C
Storage Comment
Store at -20°C. Avoid freeze / thaw cycles.
Target Details for CHI3L1
(hide)
Target
CHI3L1
(Chitinase 3-Like 1 (Cartilage Glycoprotein-39) (CHI3L1))
Alternative Name
YKL-40 / CHI3L1
Background
Chitinases catalyze the hydrolysis of chitin, which is an abundant glycopolymer found in insect exoskeletons and fungal cell walls. The glycoside hydrolase 18 family of chitinases includes eight human family members. This gene encodes a glycoprotein member of the glycosyl hydrolase 18 family. The protein lacks chitinase activity and is secreted by activated macrophages, chondrocytes, neutrophils and synovial cells. The protein is thought to play a role in the process of inflammation and tissue remodeling.
Gene ID
1116
UniProt
P36222
Recently viewed
(hide)
You are here:
Homepage
anti-CHI3L1 antibody (ABIN7259638)
Chat with us , powered by LiveChat