This product contains Sodium azide: a POISONOUS AND HAZARDOUS SUBSTANCE which should be handled by trained staff only.
Storage
-20 °C
Storage Comment
Store at -20°C. Avoid freeze / thaw cycles.
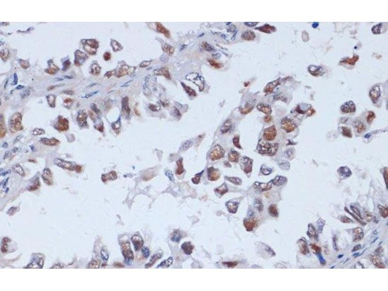
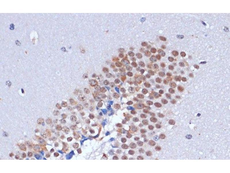
Target
DNMT3L (TRDMT1)
(DNA (Cytosine-5-)-Methyltransferase 3 Like (TRDMT1))
Alternative Name
DNMT3L
Background
CpG methylation is an epigenetic modification that is important for embryonic development, imprinting, and X-chromosome inactivation. Studies in mice have demonstrated that DNA methylation is required for mammalian development. This gene encodes a nuclear protein with similarity to DNA methyltransferases, but is not thought to function as a DNA methyltransferase as it does not contain the amino acid residues necessary for methyltransferase activity. However, it does stimulate de novo methylation by DNA cytosine methyltransferase 3 alpha and is thought to be required for the establishment of maternal genomic imprints. This protein also mediates transcriptional repression through interaction with histone deacetylase 1. Alternatively spliced transcript variants encoding different isoforms have been found for this gene.