This product contains Sodium azide: a POISONOUS AND HAZARDOUS SUBSTANCE which should be handled by trained staff only.
Storage
-20 °C
Storage Comment
Store at -20°C. Avoid freeze / thaw cycles.
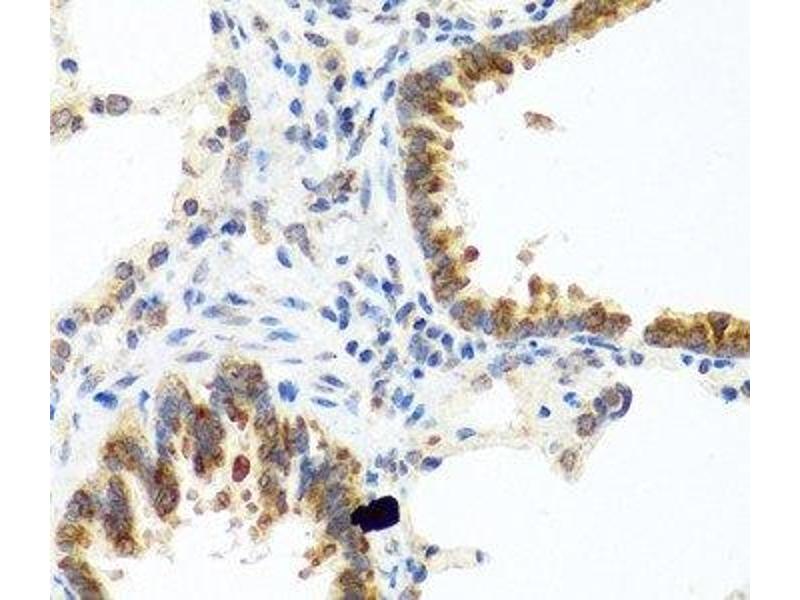
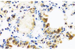
Target
C8orf4
(Chromosome 8 Open Reading Frame 4 (C8orf4))
Alternative Name
C8orf4
Background
This gene encodes a small, monomeric, predominantly unstructured protein that functions as a positive regulator of the Wnt/beta-catenin signaling pathway. This protein interacts with a repressor of beta-catenin mediated transcription at nuclear speckles. It is thought to competitively block interactions of the repressor with beta-catenin, resulting in up-regulation of beta-catenin target genes. The encoded protein may also play a role in the NF-kappaB and ERK1/2 signaling pathways. Expression of this gene may play a role in the proliferation of several types of cancer including thyroid cancer, breast cancer and hematological malignancies.