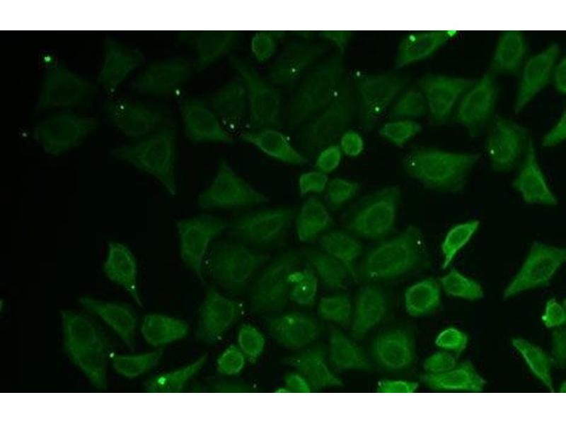
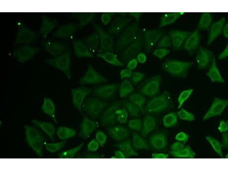
C21orf33 antibody
Quick Overview for C21orf33 antibody (ABIN7262260)
Target
See all C21orf33 AntibodiesReactivity
Host
Clonality
Conjugate
Application
-
-
Characteristics
- Polyclonal Antibody
-
Purification
- Affinity purification
-
Immunogen
- Recombinant fusion protein of human C21orf33 (NP_004640.4).
-
Isotype
- IgG
-
-
-
-
Application Notes
- IF 1:10-1:100
-
Restrictions
- For Research Use only
-
-
-
Format
- Liquid
-
Concentration
- 1 mg/mL
-
Buffer
- PBS with 0.02 % sodium azide, 50 % glycerol, pH 7.3
-
Preservative
- Sodium azide
-
Precaution of Use
- This product contains Sodium azide: a POISONOUS AND HAZARDOUS SUBSTANCE which should be handled by trained staff only.
-
Storage
- -20 °C
-
Storage Comment
- Store at -20°C. Avoid freeze / thaw cycles.
-
-
- C21orf33 (Chromosome 21 Open Reading Frame 33 (C21orf33))
-
Alternative Name
- C21orf33
-
Background
- This gene encodes a potential mitochondrial protein that is a member of the DJ-1/PfpI gene family. This protein is overexpressed in fetal Down syndrome brain. Alternate splicing results in multiple transcript variants.
-
Gene ID
- 8209
-
UniProt
- P30042
Target
-