Phone:
+1 877 302 8632
Fax:
+1 888 205 9894 (Toll-free)
E-Mail:
orders@antibodies-online.com

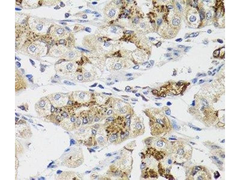
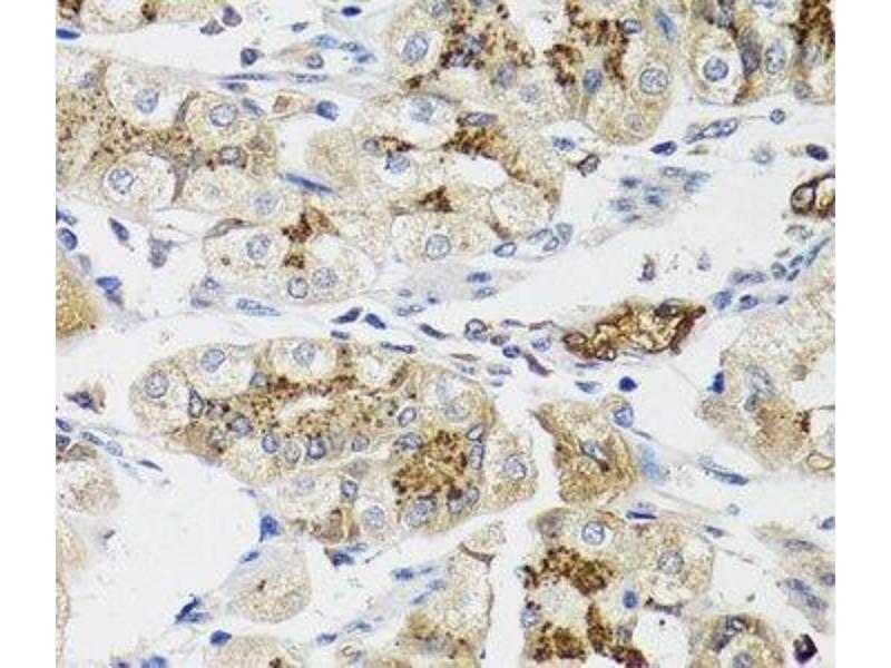
LFNG antibody

The Rabbit Polyclonal anti-LFNG antibody (ABIN7011788) specifically detects LFNG in IHC. The antibody is reactive with Human, Mouse and Rat samples.
Catalog No. ABIN7011788
$214.80
Plus shipping costs $50.00
60 μL
Shipping to: United States
Delivery in 11 to 15 Business Days

Quick Overview for LFNG antibody (ABIN7011788)

Target

See all LFNG Antibodies
LFNG (LFNG O-Fucosylpeptide 3-beta-N-Acetylglucosaminyltransferase (LFNG))

Reactivity

  • 36
  • 10
  • 9
  • 2
  • 1
  • 1
  • 1
  • 1
  • 1
  • 1
Human, Mouse, Rat

Host

  • 28
  • 8
Rabbit

Clonality

  • 28
  • 8
Polyclonal

Conjugate

  • 24
  • 2
  • 1
  • 1
  • 1
  • 1
  • 1
  • 1
  • 1
  • 1
  • 1
  • 1
This LFNG antibody is un-conjugated

Application

  • 26
  • 20
  • 11
  • 9
  • 3
  • 3
  • 3
  • 1
Immunohistochemistry (IHC)
You are here:
Chat with us!