Phone:
+1 877 302 8632
Fax:
+1 888 205 9894 (Toll-free)
E-Mail:
orders@antibodies-online.com

B9D1 antibody

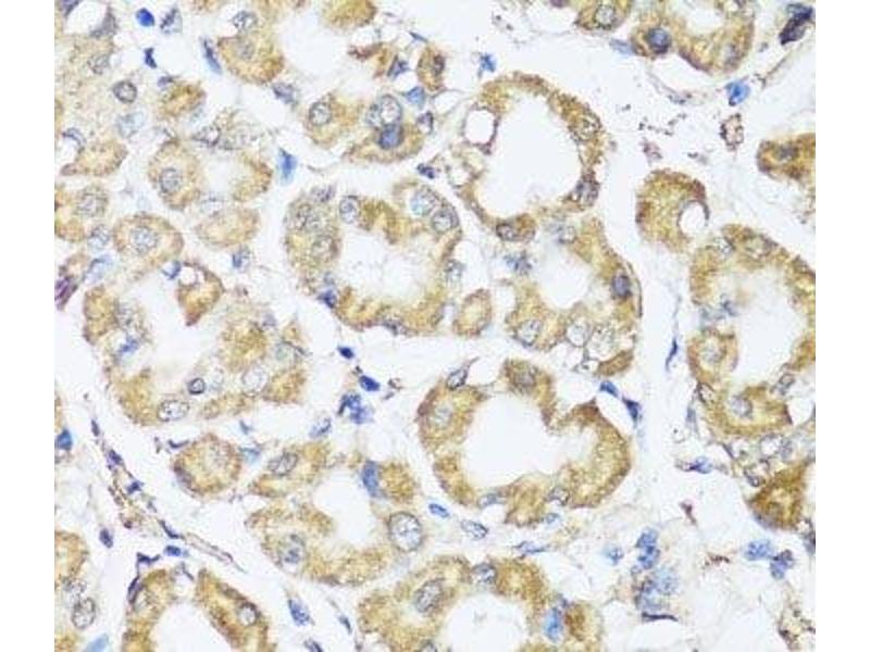
The Rabbit Polyclonal anti-B9D1 antibody (ABIN7264023) specifically detects B9D1 in IHC. The antibody is reactive with Human, Mouse and Rat samples.
Catalog No. ABIN7264023
$696.00
Plus shipping costs $50.00
Shipping to: United States
Delivery in 11 to 15 Business Days

Quick Overview for B9D1 antibody (ABIN7264023)

Target

See all B9D1 Antibodies
B9D1 (B9 Protein Domain 1 (B9D1))

Reactivity

  • 8
  • 2
  • 1
  • 1
  • 1
  • 1
  • 1
  • 1
Human, Mouse, Rat

Host

  • 7
  • 1
Rabbit

Clonality

  • 8
Polyclonal

Conjugate

  • 8
This B9D1 antibody is un-conjugated

Application

  • 8
  • 4
  • 3
  • 3
  • 1
  • 1
  • 1
Immunohistochemistry (IHC)
  • Characteristics

    Polyclonal Antibody

    Purification

    Affinity purification

    Immunogen

    Recombinant fusion protein of human B9D1 (NP_056496.1).

    Isotype

    IgG
  • Application Notes

    IHC 1:50-1:200

    Restrictions

    For Research Use only
  • Format

    Liquid

    Concentration

    1 mg/mL

    Buffer

    PBS with 0.02 % sodium azide, 50 % glycerol, pH 7.3

    Preservative

    Sodium azide

    Precaution of Use

    This product contains Sodium azide: a POISONOUS AND HAZARDOUS SUBSTANCE which should be handled by trained staff only.

    Storage

    -20 °C

    Storage Comment

    Store at -20°C. Avoid freeze / thaw cycles.
  • Target

    B9D1 (B9 Protein Domain 1 (B9D1))

    Alternative Name

    B9D1

    Background

    This gene encodes a B9 domain-containing protein, one of several that are involved in ciliogenesis. Alterations in expression of this gene have been found in a family with Meckel syndrome. Meckel syndrome has been associated with at least six different genes. This gene is located within the Smith-Magenis syndrome region on chromosome 17.

    Gene ID

    27077

    UniProt

    Q9UPM9
You are here:
Chat with us!