Phone:
+1 877 302 8632
Fax:
+1 888 205 9894 (Toll-free)
E-Mail:
orders@antibodies-online.com

MAS1 antibody

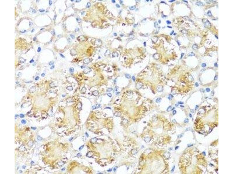
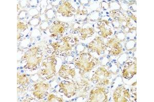
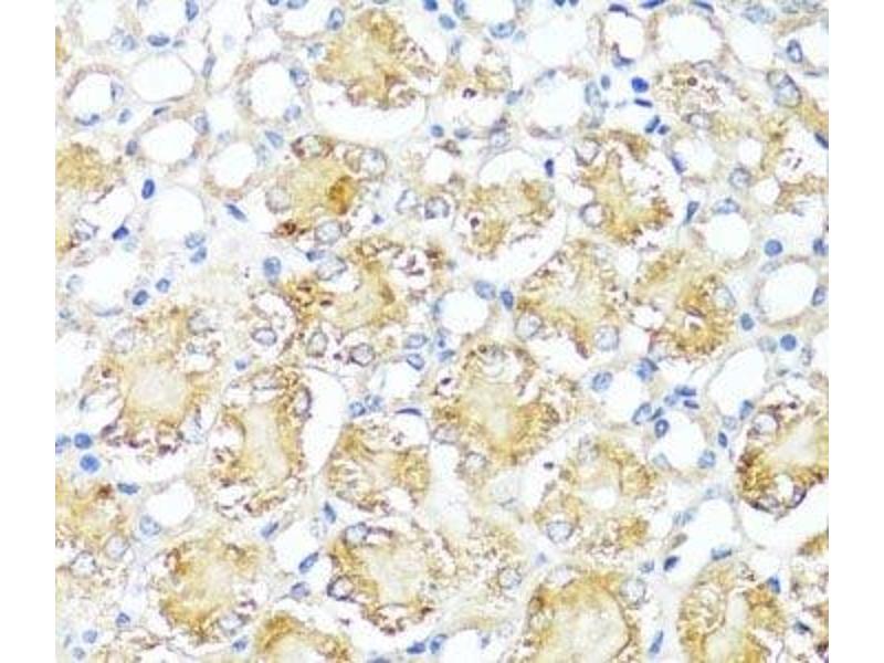
The Rabbit Polyclonal anti-MAS1 antibody is suitable to detect MAS1 in samples from Human, Mouse and Rat. It has been validated for IHC.
Catalog No. ABIN7264177
$696.00
Plus shipping costs $50.00
Shipping to: United States
Delivery in 11 to 15 Business Days

Quick Overview for MAS1 antibody (ABIN7264177)

Target

See all MAS1 Antibodies
MAS1 (MAS1 Oncogene (MAS1))

Reactivity

  • 54
  • 14
  • 11
  • 5
  • 5
  • 4
  • 4
  • 2
  • 2
Human, Mouse, Rat

Host

  • 55
  • 1
Rabbit

Clonality

  • 56
Polyclonal

Conjugate

  • 22
  • 4
  • 4
  • 3
  • 2
  • 1
  • 1
  • 1
  • 1
  • 1
  • 1
  • 1
  • 1
  • 1
  • 1
  • 1
  • 1
  • 1
  • 1
  • 1
  • 1
  • 1
  • 1
  • 1
  • 1
  • 1
This MAS1 antibody is un-conjugated

Application

  • 39
  • 15
  • 10
  • 8
  • 2
  • 1
  • 1
  • 1
Immunohistochemistry (IHC)
  • Characteristics

    Polyclonal Antibody

    Purification

    Affinity purification

    Immunogen

    Recombinant fusion protein of human MAS1 (NP_002368.1).

    Isotype

    IgG
  • Application Notes

    IHC 1:50-1:200

    Restrictions

    For Research Use only
  • Format

    Liquid

    Concentration

    1 mg/mL

    Buffer

    PBS with 0.02 % sodium azide, 50 % glycerol, pH 7.3

    Preservative

    Sodium azide

    Precaution of Use

    This product contains Sodium azide: a POISONOUS AND HAZARDOUS SUBSTANCE which should be handled by trained staff only.

    Storage

    -20 °C

    Storage Comment

    Store at -20°C. Avoid freeze / thaw cycles.
  • Target

    MAS1 (MAS1 Oncogene (MAS1))

    Alternative Name

    MAS1

    Background

    This gene encodes a class I seven-transmembrane G-protein-coupled receptor. The encoded protein is a receptor for angiotensin-(1-7) and preferentially couples to the Gq protein, activating the phospholipase C signaling pathway. The encoded protein may play a role in multiple processes including hypotension, smooth muscle relaxation and cardioprotection by mediating the effects of angiotensin-(1-7).

    Gene ID

    4142

    UniProt

    P04201

    Pathways

    ACE Inhibitor Pathway, Regulation of Carbohydrate Metabolic Process
You are here:
Chat with us!