GNG10 antibody
Quick Overview for GNG10 antibody (ABIN7264459)
Target
See all GNG10 AntibodiesReactivity
Host
Clonality
Conjugate
Application
-
-
Characteristics
- Polyclonal Antibody
-
Purification
- Affinity purification
-
Immunogen
- Recombinant fusion protein of human GNG10 (NP_001017998.1).
-
Isotype
- IgG
-
-
-
-
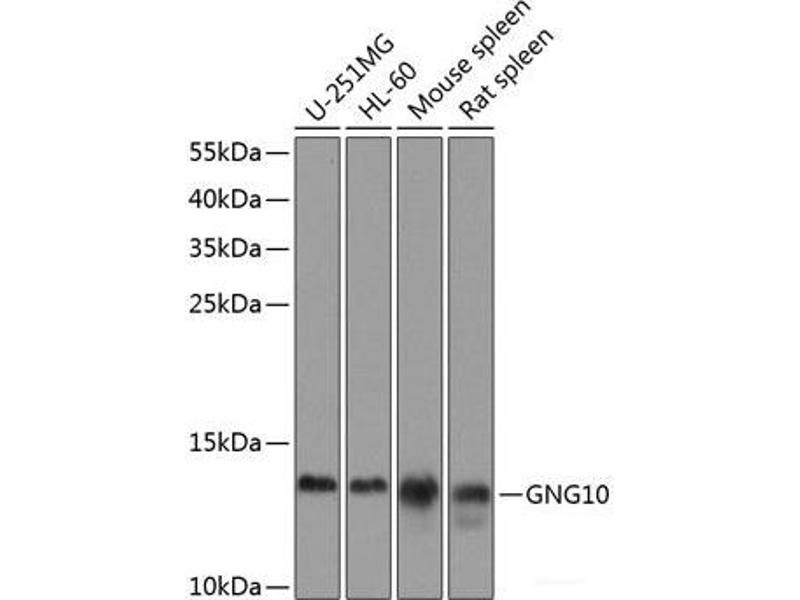
Application Notes
- WB 1:500-1:2000
-
Restrictions
- For Research Use only
-
-
-
Format
- Liquid
-
Concentration
- 1 mg/mL
-
Buffer
- PBS with 0.02 % sodium azide, 50 % glycerol, pH 7.3
-
Preservative
- Sodium azide
-
Precaution of Use
- This product contains Sodium azide: a POISONOUS AND HAZARDOUS SUBSTANCE which should be handled by trained staff only.
-
Storage
- -20 °C
-
Storage Comment
- Store at -20°C. Avoid freeze / thaw cycles.
-
-
- GNG10 (Guanine Nucleotide Binding Protein (G Protein), gamma 10 (GNG10))
-
Alternative Name
- GNG10
-
Background
- GNG10 (G Protein Subunit Gamma 10) is a Protein Coding gene. Diseases associated with GNG10 include Good Syndrome. Among its related pathways are Translation Translation regulation by Alpha-1 adrenergic receptors and Sweet Taste Signaling. Gene Ontology (GO) annotations related to this gene include GTPase activity and obsolete signal transducer activity. An important paralog of this gene is GNG5.
-
Molecular Weight
-
Observed_MW: 14 kDa
Calculated_MW: 7 kDa
-
Gene ID
- 2790
-
UniProt
- P50151
Target
-